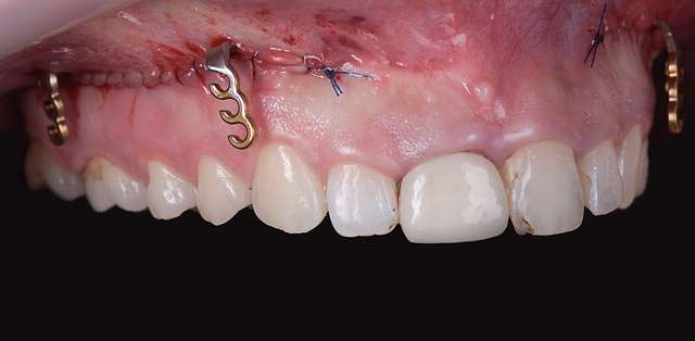
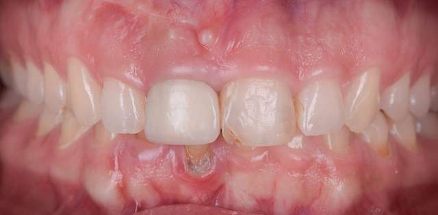
In cazul de fata avem de a face cu un zambet gingival disproporționat cu buza superioara hipermobila, care accentuează si mai mult problema. Dintii existenti sunt mici, si nu este suficient sa compensam prin alungire coronara discrepanța care vrem sa o tratam. Ca sa fie lucrurile si mai complicate, unul din cei doi incisivi centrali are o resorbtie radiculara internă, si ar trebui extras. Am ales o abordare inderdisciplinara, combinand tratamentul ortodontic, cu cel protetic (Fatete Dentare) si bineinteles implantul dentar acompaniat de o grefa gingivala.
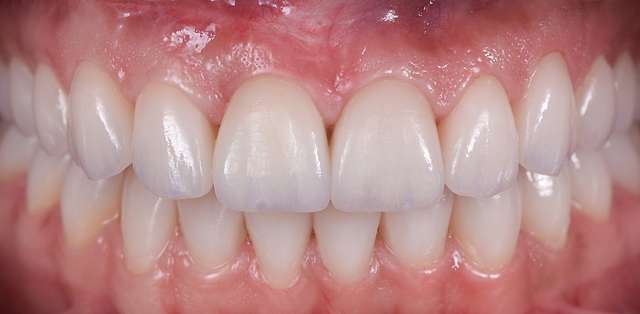
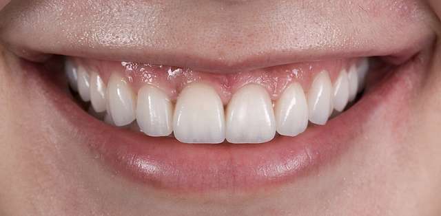
In tratamentul ortodontic am folosit ancoraj scheletal (placute) care ne pun la dispozitie forta necesara de a impacta maxilarul. Odata cu impactarea maxilarului, are loc o autoritate a mandibulei care imbunatateste situatia atat functional cat si din punctul de vedere al esteticii faciale. Centralul afectat l-am folosit pe perioada tratamentului ortodontic si l-am extras odata ce am obtinut o situatie favorabila pentru un implant dentar. La final am folosit fatete ceramice cu forme naturale proportii si dimensiuni optime. Acest caz va fi prezentat pe larg in prestigiosul jurnal JERD (Journal of Restorative Dentistry 2022)
