Implanturile dentare sunt infrastructura esteticii si unei bune sanatati orale, in momentul in care dintii lipsesc. In viziunea noastra, diagnosticarea, planificarea si integrarea chirurgiei implanturilor dentare in arhitectura planului de tratament este la fel de importanta, sau poate chiar mai importanta decat chirurgia in sine. Din acest motiv, inainte de orice chirurgie,
planificam rezultatul final si intregul parcurs al tratamentului. Aceasta abordare ne dicteaza planificarea corecta a pozitiei ideale a implanturilor, precum si momentul potrivit din parcursul tratamentului pentru insertia acestora. Planificarea poate fi materializata, in cazurile complexe, in ghiduri chirurgicale. Astfel, chirurgia este precisa, predictibila si sigura.
Totul intr-un singur loc
Rezolvam problema fara alte drumuri suplimentare, deoarece totul este in acelasi loc: de la investigatii ( radiologie, computer-tomografie ), la planificare si design ( studio foto-video, scanner optic ), la bloc operator specializat si laborator dentar dedicat. In plus, totul se intampla intr-un sistem integrat, in care totul e bine coordonat si eficient, in care simti o viziune comuna si congruenta pe tot parcursul tratamentului.
Planificarea digitala a chirurgiei ghidate
Chirurgia se planifica si simuleaza intai digital. In cazurile cu un nivel ridicat de dificultate, un ghid chirurgical se va printa 3D, astfel chirurgia este mai rapida si mai precisa, cu un focus sporit asupra detaliilor.
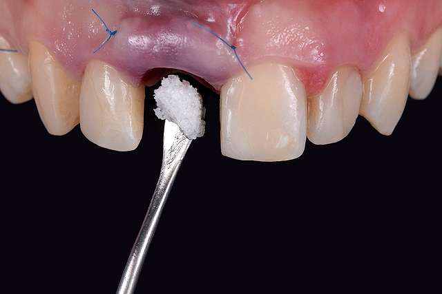
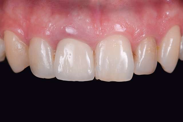
Reconstructie avansata a tesuturilor
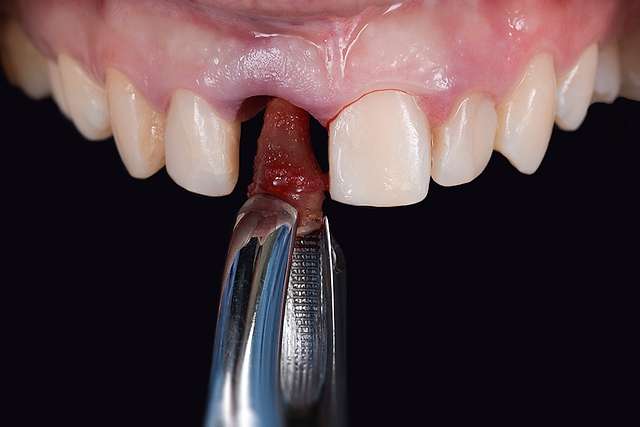
In insertia implanturilor dentare se ofera o deosebita atentie asupra restaurarii arhitecturii tesuturilor si osului. Acest lucru confera o stabilitate de lunga durata, cat si o integrare biologica si estetica.
Intrebari frecvente
Cum functioneaza implanturile dentare?
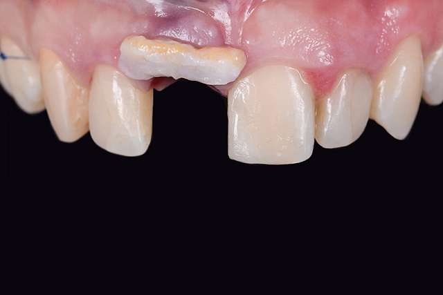
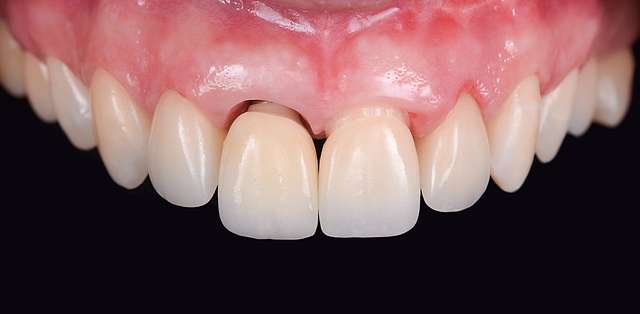
Implanturile dentare presupun 3 etape: Etapa digitala - Cazul este diagnosticat si se planifica interventia chirurgicala. Etapa chirurgicala - Implanturile sunt inserate in os. Chirurgia este urmata de o perioada de vindecare si osteointegrare a implanturilor de 8 saptamani. Etapa protetica -Implanturile odata osteointegrate, vor fi incarcate cu restauratii ceramice. Citeste mai mult
Ce indicatii si contraindicatii au implanturile dentare?
Implanturile dentare sunt indicate atunci cand exista unul sau mai multi dinti lipsa. Contraindicatiile tin in principal de conditii sistemice cu grad de risc ( diverse afectiuni ex: diabet, osteoporoza etc.) si fumat. Pe larg aici
Daca nu am suficient os pentru implant?
In etapa digitala, in baza unui CBCT (computer tomograf ) se poate stabili cu exactitate nivelul osului. Chirurgul va masura si planifica dimensiunea implantului,in cazul in care volumul osului este suficient, iar in caz contrar va planifica procedurile de augmentare osoasa.
Am nevoie de un implant dentar, dar nu stiu daca imi permit. Ce alternative am?
Costurile la un plan de tratament pot varia mult, de aceea va sfatuim sa faceti calculele dupa ce faceti o consultatie. Consultatia va determina exact ce investie e nevoie sa faceti, iar dupa acest pas, se pot stabili si metodele de plata.
As dori sa urmez tratamentul, insa nu locuiesc in Timisoara. Care sunt optiunile mele?
Peste 40% din pacientii nostri nu sunt locali. Oferim asistenta logistica in planificarea calatoriei, informatii legate de planul de tratament, programari, solutii la diverse probleme, suport logistic pentru rezervari, zboruri, cazari, sau orice alte informatii necesare in timpul tratamentului. Pentru ingrijirea ulterioara tratamentului efectuat la Dentcof, in functie de tara in care locuiti, va vom orienta catre specialist din zona dumneavoastra. Toti specialistii pe care ii recomandam au participat in programele noastre educationale. Mai multe informatii aici.
Am efectuat chirurgia de insertie a implanturilor in alta parte. Este posibil sa fac protetica la Dentcof?
Da, avem doar nevoie de cateva detalii: tipul implantului si dimensiunile acestuia. Aceasta informatie o puteti primi de la chirurgul dumneavoastra.
Ce tipuri de implanturi dentare sunt folosite in Dentcof?
Cele mai utilizate branduri de implanturi sunt: MIS, Nobel Biocare, Megagen. Afla mai multe aici.
