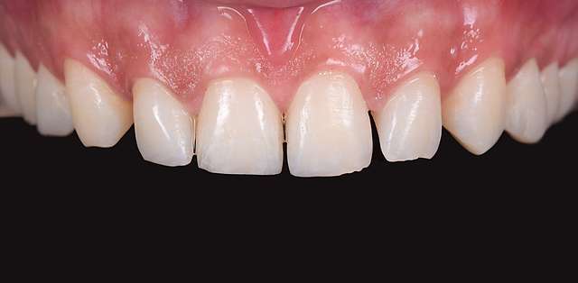
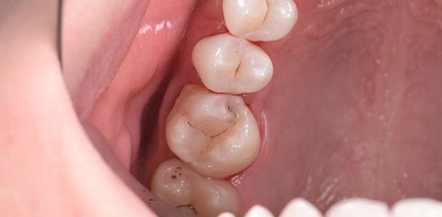
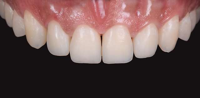
Obturatiile de compozit sunt prima alegere in tratarea cariilor dentare. Pentru ca acestea sa fie cat mai longevive, factorii cei mai importanti avuti in vedere sunt izolarea, precizia si adeziunea. Mai multi factori avuti in vedere, mai lunga durata de viata a restauratiei. Restauratiile din compozit sunt o varianta de tratament non invaziva, prin intermediul careia estetica si armonia zambetului pot fi imbunatatite considerabil. Restaurarea dintilor din zona anterioara folosind compozit ofera pacientilor atat rezultate estetice rapide, cat si indepartarea cariilor dentare.
Dintii sunt restaurati intr-o singura sedinta, folosind diga pentru o izolare perfecta. O a doua sedinta va fi necesara doar pentru finisaj si lustruire. Compozitele folosite pentru restaurarea dintilor sunt de o calitate superioara, implinind cerintele de durabilitate si stabilitate morfologica, biocompatibilitate cu structura dintelui, si aderenta de lunga durata. Inainte de a incepe restaurarea estetica cu ajutorul compozitelor, se recomanda o albire dentara profesionala pentru a obtine cele mai bune rezultate.
Obturatii din compozit
Restauratii din compozit
