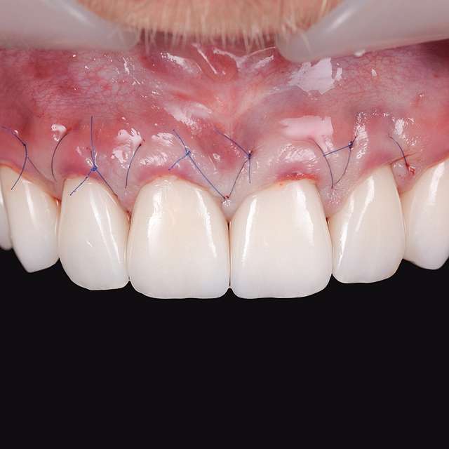
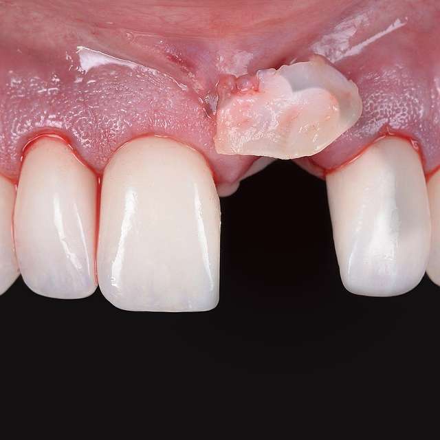
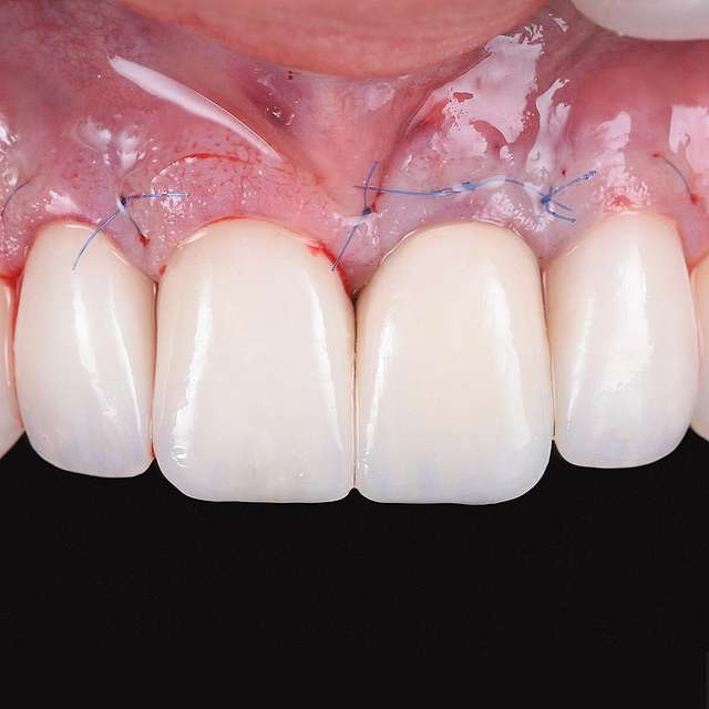
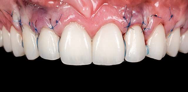
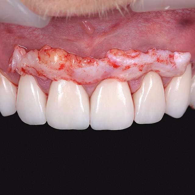
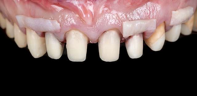
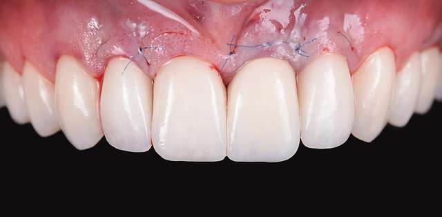
Grefa gingivala este o micro-chirurgie prin care se transplanteaza o mica bucata de tesut moale - gingie sau tesut conjuctiv (stratul intern al gingiei) pentru a acoperi un defect gingival. De obicei, acest tip de interventie este necesar pentru augmentarea implanturilor dentare, sau pentru a acoperi defecte cauzate de traume sau de afectiuni parodontale.Grefele se recolteaza din zona molarului de minte, sau de pe palat, si sunt transplantate in zona afectata.
Acesta interventie este una foarte delicata, lamele folosite pentru a efectua procedura sunt aceleasi folosite in oftalmologie, iar firele de sutura sunt si ele foarte fine. Firele se indeparteaza dupa 7-14 zile, in functie de caz, cand are loc vindecarea primara. Maturarea grefei dureaza aproximativ 90 zile, de aceea in momentul inserarii implanturilor preferam sa facem si grefa de tesut, pentru a sincroniza timpii de vindecare si ambelor proceduri.
Planificare digitala. Proceduri individualizate.
Fiecare caz este planificat digital, si este executat cu cea mai potrivita procedura. Rationamentul folosit pentru selectia celei mai potrivite proceduri, consta in raportul dintre cel mai longeviv rezultat si cea mai putin invaziva procedura. Chirurgia ghidata
Specialistul potrivit
Focusul este pe cel mai bun rezultat final, atat din punct de vedere estetic cat si durabil. In cazurile complexe cu indicatii deosebite, Dentcof dispune si de logistica necesara colaborarii cu specialisti internationali. Vezi echipa
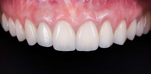
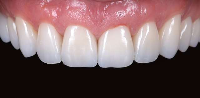
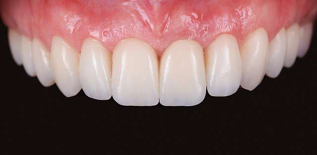
Grefe pentru corectia defectelor gingivale
Grefe pentru corectia nivelului si a retractiei gingivale
Grefe pentru corectia culorii gingivale
Intrebari frecvente
Interventia este dureroasa?
Interventia nu doare deloc, fiind executata sub anestezie locala. Dupa interventie, poate aparea o usoara sensibiliate pentru cateva zile.
Ma voi umfla?
Nu. Poate aparea un usor edem in zona asupra careia s-a intervenit, insa rar.
Am nevoie de concediu in urma acestei interventii?
Interventia nu doare deloc, fiind executata sub anestezie locala. Dupa interventie, poate aparea o usoara sensibiliate pentru cateva zile.
Pot sa fumez?
Fumatul nu este o contraindicatie absoluta, dar este una majora. Recomandam renuntatul la fumat, sau reducerea drastica a numarului de tigari. Contraindicatiile grefelor de tesut moale sunt aceleasi ca si in cazul implanturilor dentare. Citeste mai multe aici.
