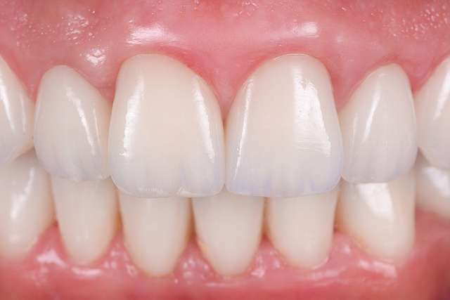
Coroanele dentare sunt o varianta de restauratie ceramica folosita in cazul dintilor deteriorati structural cat si in cazul implaturilor dentare.
Coroanele pot fi folosite selectiv cand indicatiile tratamentului o cer. S-au dovedit a fi longevive si eficiente atat din punct de vedere estetic, cat si functional.
Estetic, si totusi invizibil
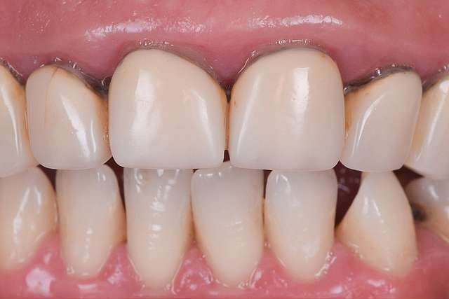
Folosim tehnologie biometrica pentru a copia caracteristicile dintilor naturali ceea ce ne permite sa ramanem “artisti anonimi” fara a dezvalui urmele unei lucrari dentare. Nimeni nu isi va da seama ca ai fatete dentare, doar daca alegi sa le spui. Tehnologie biometrica
Radiant
Dam viata restauratiilor prin culoare si luminozitate. Folosim materiale ceramice cu o colorimetrie superioara si un protocol de prelucrare specific pentru a intensifica aspectul natural pe care il putem vedea la dantura tanara si sanatoasa.
Fara metal
Pentru o mai buna arhitectura a tesuturilor cat si pentru o mai buna integrare a culorilor, folosim doar restauratii fara metal. Mai mult, lipsa metalului ne permite sa prezervam mai bine structura dintelui in timpul tratamentului.
Planificat sa reziste
Pentru planificarea unor restauratii precise si integrate functional, folosim tiparele specifice de miscare ale pacientului: masticatie, vorbire si deglutitie. Rezultatul este unul longeviv iar confort este sportit.
