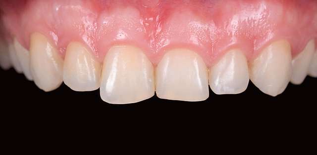
Pentru fiecare zâmbet, ne propunem sa obtinem armonie între vizibilitatea gingivală și dinți. În majoritatea proiectelor de Smile design trebuie să facem ajustari delicate ale gingiei, pentru un rezultat armonios. Intotdeauna luăm în considerare implicațiile biologice ale deciziilor noastre estetice și ne gândim la stabilitatea pe termen lung. Procedurile de alungire a coronara sunt tehnici concepute pentru reconturarea atât a gingiei cât și a osului, în conformitate cu rezultatul atat estetic cat si biologic.
Ne place sa fim delicati cu țesutul, si favorizam întotdeauna tehnica cel mai puțin invazivă adecvată scenariului clinic. De asemenea, corelăm întotdeauna chirurgia cu designul și facem acest lucru în 2 moduri. Mai întâi folosim ghiduri pentru toate procedurile de prelungire a coroanei. În al doilea rând, sprijinim întotdeauna chirurgia cu suport protetic adecvat, ghidând procesul de vindecare în raport cu designul.
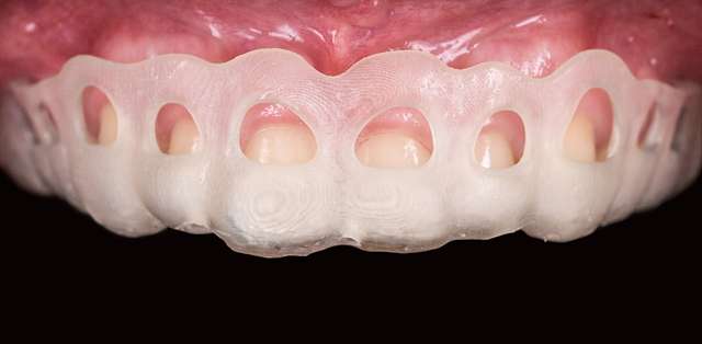
Ghidat
Realizam ghiduri de reducere a țesutului, care sunt imprimate 3D și utilizate pentru a ghida intervențiile chirurgicale. Acest lucru permite chirurgului să fie mereu conectat la echipa protetică prin care rezulta o viziune unificată a intregului proces.
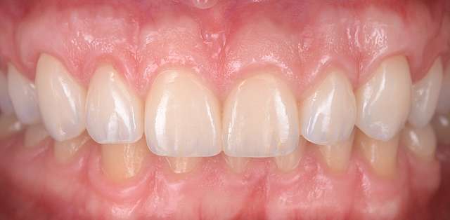
Minim invaziv
Majoritatea intervențiilor chirurgicale pe care le realizam sunt fara ridicarea lamboului. Această abordare minim invazivă atât a țesutului, cât și a oaselor, ori de câte ori este adecvată, permite o vindecare mult mai bună iar timpul de finalizare a tratamentului este redus semnificativ.
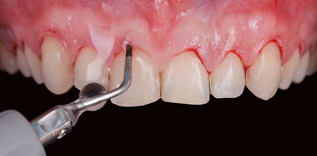
Vindecare controlata
Jumătate din succesul și stabilitatea unei intervenții chirurgicale sunt restauratiile. Din acest motiv, folosim restauratii temporare împreună cu intervenția chirurgicală, permițându-ne să ghidăm vindecarea în funcție de rezultatul dorit.
