Fatete dentare

Redefineste-ti zambetul

Programează-te

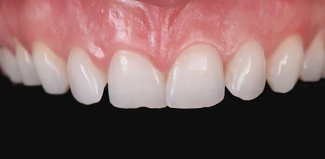
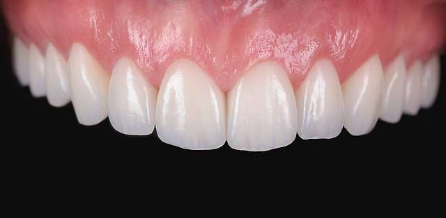
Fatetele dentare sunt o optiune de tratament minim-invaziva, prin intermediul careia se poate imbunatati forma, armonia si culoarea dintilor. Sunt solutia ideala pentru a obtine un zambet mai luminos, armonios, sau pur si simplu, un zambet diferit.

Desi fatetele sunt restauratii delicate, devin foarte rezistente cand sunt cimentate pe smaltul dentar. Aceasta optiune de tratament ofera posibilitatea de a alege orice nuanta a dintilor, iar rezultatul este permanent.

 

Estetic, si totusi invizibil

Folosim tehnologie biometrica pentru a copia caracteristicile dintilor naturali ceea ce ne permite sa ramanem “artisti anonimi” fara a dezvalui urmele unei lucrari dentare. Nimeni nu isi va da seama ca ai fatete dentare, doar daca alegi sa le spui. Tehnologie biometrica

Un zambet care ti se potriveste

Dentcof este un nume cu traditie in Smile Design iar tehnologiile patentate precum si expertiza acumulata se regasesc in unicitatea fiecarui zambet restaurat. Menirea fiecarui tratament estetic si a fiecarei proceduri este sa imbrace identitatea, zambetul devenind astfel o extensie naturala a personalitatii, ca si cum a fost intoteauna o parte din tine. Smile design

 

Radiant

Dam viata restauratiilor prin culoare si luminozitate. Folosim materiale ceramice cu o colorimetrie superioara si un protocol de prelucrare specific pentru a intensifica aspectul natural pe care il putem vedea in dantura tanara si sanatoasa.

Interventie minima, efect maxim

Fatetele dentare presupun o interventie minim-invaziva, dintii fiind slefutiti aproximativ 0.2-0.5 mm. In cazurile in care pacientii au dinti mici, sau spatii intre dinti, nu este necesara slefuirea lor, si se pot folosi fatetele dentare no-prep.

   

Programează-te

Contactati-ma in 48h

Contactati-ma in 24h

Am fost informat ca, pentru a raspunde solicitarii mele, Dentcof va prelucra datele personale de mai sus conform Politicii de confidentialitate .

Raspundem la email in functie de importanta si urgenta. Incercam sa raspundem in 48h de la primirea oricarui mesaj.

Programează un consult

+4 0373 808 103

contact@dentcof.ro

Raspundem la email in functie de importanta si urgenta. Incercam sa raspundem in 48h de la primirea oricarui mesaj.