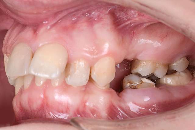
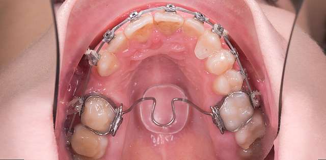
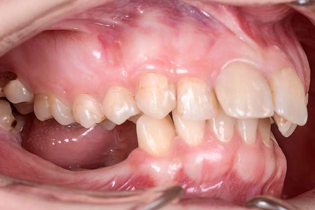
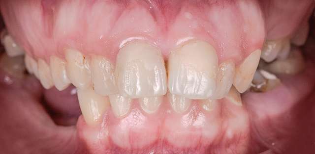
Este recomandat pentru tratarea problemelor legate de poziția dinților, mușcătură incorecta, probleme articulare sau scheletale, fiind una din uneltele cele mai eficiente în tratarea cazurilor complexe. Multe cazuri pot fi realizate chiar și fără bracketi, folosind gutiere transparente sau alignere.
Design centralizat
Ce ne scoate în evidență ca abordare este idea unui singur design centralizat care coordonează toate disciplinele și procedurile, maximizând astfel potențialul estetic, funcțional și biologic al tratamentului. Acest mod de planificare unitară este o alternativă superioară abordării segmentare în care pacientul este trimis de la un medic la altul, fiecare tratându-l dintr-o altă persectivă.
Planificarea sinergiilor
În momentul în care combinam mai multe discipline, sinergia dintre ele ne aduce beneficii majore când este exploatată. Un exemplul este suprapunerea timpilor de vindecare a etapelor chirurgicale cu tratamentul ortodontic, care scurtează durata tratamentului. Un alt exemplu este folosirea design-ului protetic pentru a ghida vindecarea chirurgicală. Toate acestea sunt posibile și pot duce la rezultate spectaculoase. În asta consta expertiza Dentcof. Îmbinarea diverselor dișcipline pentru a maximiza rezultatul, având constant o perspectivă centralizată a cazului, în care toți specialiștii trag în aceeași direcție.
Planificat să dureze
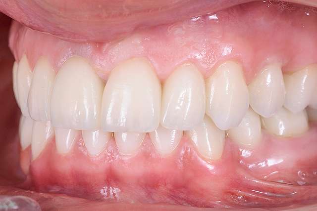
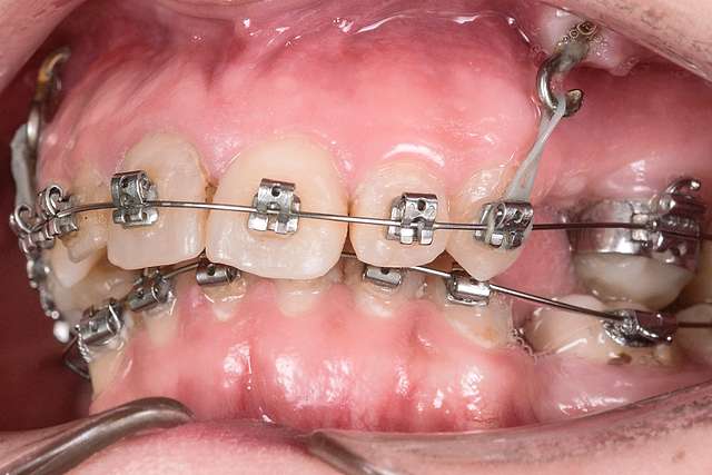
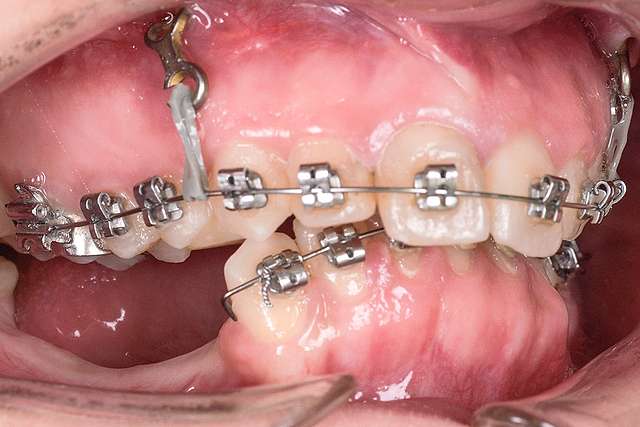
Tratamentul ortodontic este planificat și pre-simulat în echilibru cu articulația temporo-mandibulară, cu mușchii maxilari și cu mișcările specifice ale pacientului. Biomecanica este validată folosind radiografia 3D (CBCT), mișcările dinților se planifică în funcție de nivelul osului existent, astfel ca efectele secundare se reduc exponential. Planificarea atentă, în funcție de toți acești factori, se traduce în tratamente ortodontice precise, scurte ca durată de timp, cu o rată mică de recidivă.
