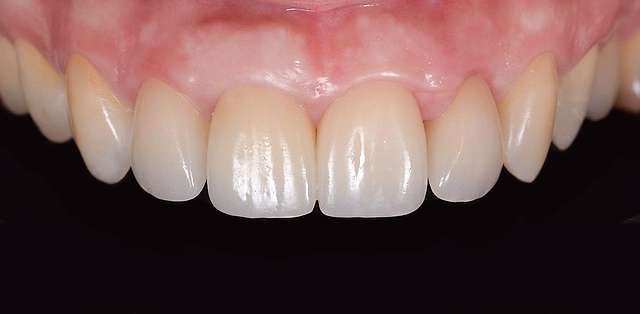
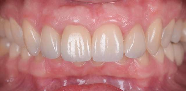
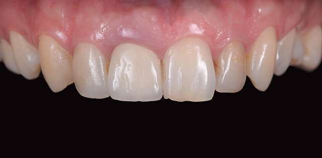
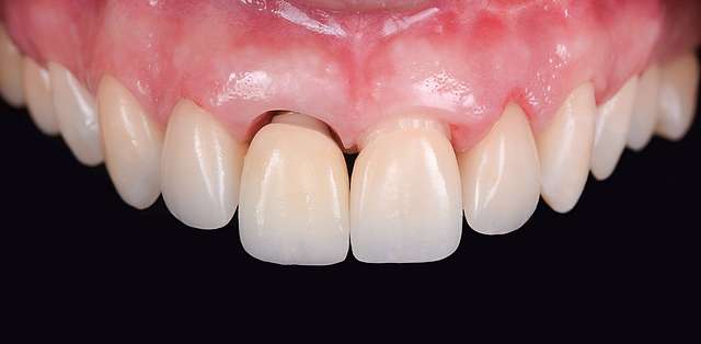
Implanturile dentare in zona frontala sunt tot timpul o provocare cand ne dorim un rezultat "invizibil". Cand un dinte este pierdut dintr-un motiv sau altul, avem de a face si cu o recesie a gingiei si osului, si aici este de fapt provocarea. Inserarea implantului este partea poate cea mai simpla din toata procedura, in cazul in care se foloseste un ghid chirurgical, care garanteaza un standard de precizie. Efortul chirurgical este focusat pe reconstrucția tesuturilor, care inevitabil vor trece printr-un proces de recesie, in urma extractiei.
De aceea acest lucru este luat in calcul cand planificam interventia , pentru a asigura spatiul necesar pentru aditia osoasa si grefa chirurgicala. De asemenea design-ul componentei protetice urmeaza aceeasi logica, coroana, in zona ei subgingivala fiind folosita ca un suport pentru vindecare ghidata a reconstrucitei de tesuturi. Acest caz este prezentat pe larg in prestigioasa publicatie Quintessence Journal Of Dental Technology , ediția 2021.
