Aparat dentar

Zâmbet mai larg

Programează-te

Arhitect de tratament

Specialisti

Tehnicieni dentari

Ioana Popp

Suport logistic

Maria Macarescu

Proceduri

Aparat dentar

Fatete dentare

Implant dentar

Coroane dentare

Alungire coronara

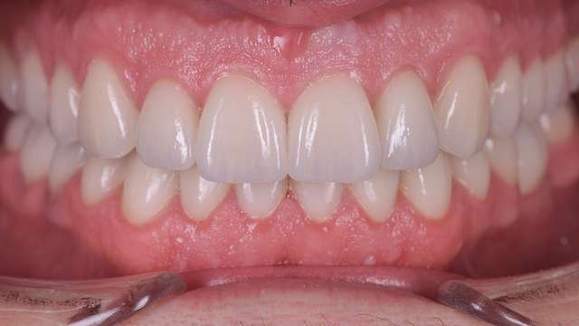
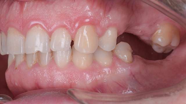
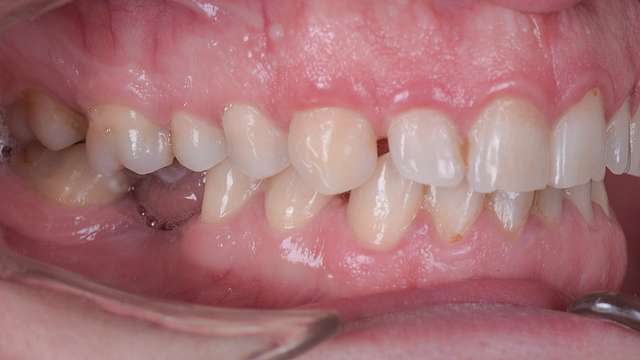
Sunt multe lucruri ce se pot obține cu un aparat dentar, dincolo de poziția dinților, mai ales când se lucrează interdisciplinar. În cazul de față, am atins două obiective. Am corectat zâmbetul gingival, și am lărgit coridoarele bucale. Astfel noul zâmbet este mai larg și mai luminos. La final, am personalizat la nivel de detalii cu fațete ceramice. Acest caz folosește ca și bază de tratament tehnologia Smilecloud.

   

Treatment architect

Specialists

Technicians

Ioana Popp

Logistics

Maria Macarescu

Procedures

Aparat dentar

Fatete dentare

Implant dentar

Coroane dentare

Alungire coronara

Programează-te

Contactati-ma in 48h

Contactati-ma in 24h

Am fost informat ca, pentru a raspunde solicitarii mele, Dentcof va prelucra datele personale de mai sus conform Politicii de confidentialitate .

Raspundem la email in functie de importanta si urgenta. Incercam sa raspundem in 48h de la primirea oricarui mesaj.

Programează un consult

+4 0373 808 103

contact@dentcof.ro

Raspundem la email in functie de importanta si urgenta. Incercam sa raspundem in 48h de la primirea oricarui mesaj.