Retratament

Implanturi dentare si fatete dentare

Programează-te

Arhitect de tratament

Specialisti

Tehnicieni dentari

Ioana Popp

Gabriela Lascu

Suport logistic

Proceduri

Obturatii de compozit

Tratamentul de canal

Alungire coronara

Fatete dentare

Coroane dentare

Grefa gingivala

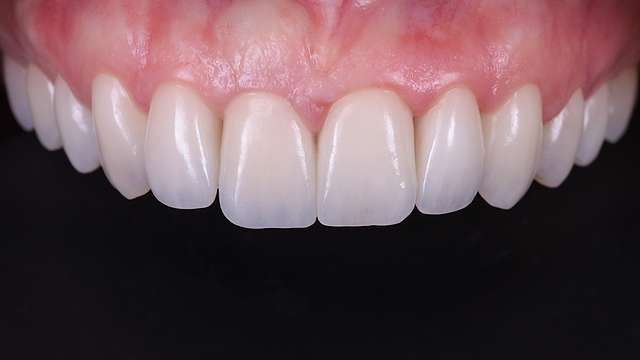
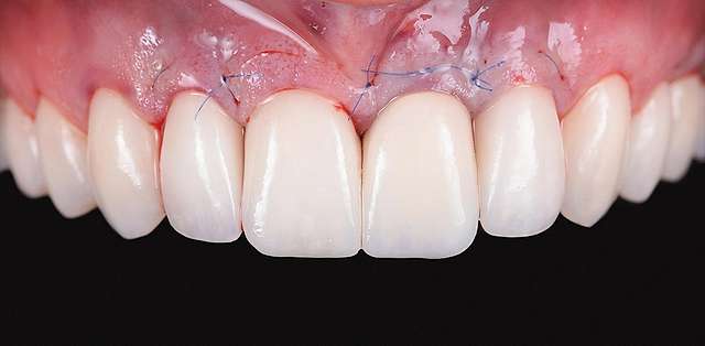
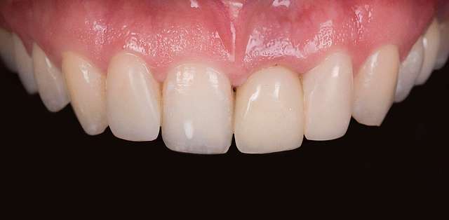
Acum 5-10 ani focusul principal la un implant dentar era osteo-integrarea, se punea putin accent asupra reconstructiei tesuturilor. In ziua de azi stim ca daca nu tinem cont de recesia tesuturilor care e este inevitabila in orice extractie dentara, aceasta va impacta atat design-ul final. Un rezultat natural va fi foarte greu de obtinut deoarece profilul gingival la nivelul implanturilor va fi diferit. De asemenea e unanim acceptat ca exista o corelatie directa intre stabiliatea in timp a unui implant dentar si volumul de gingie din jurul lui.

In alte cuvinte, reconstructia tesutului e elementul cheie in a avea atat un rezultat natural, dar si unul stabil in timp. In cazul de fata am retratat un caz cu implanturi inserate acum 5 ani, care aveau problema mentionata. Implanturile in sine nu aveau o problema, asa ca le-am refolosit, dar am augmentat tesuturile din jur, si odata cu asta am schimbat design-ul, care ne serveste si ca un support de vindecare. Am schimbat fatetele existente care erau din compozit in fatete ceramice, si am armonizat zambetul cu o solutie pe termen lung, durata de viata a unei fatete ceramice fiind semnificativ mai mare decat a unei de compozit.

   

Treatment architect

Specialists

Technicians

Ioana Popp

Gabriela Lascu

Logistics

Procedures

Obturatii de compozit

Tratamentul de canal

Alungire coronara

Fatete dentare

Coroane dentare

Grefa gingivala

Programează-te

Contactati-ma in 48h

Contactati-ma in 24h

Am fost informat ca, pentru a raspunde solicitarii mele, Dentcof va prelucra datele personale de mai sus conform Politicii de confidentialitate .

Raspundem la email in functie de importanta si urgenta. Incercam sa raspundem in 48h de la primirea oricarui mesaj.

Programează un consult

+4 0373 808 103

contact@dentcof.ro

Raspundem la email in functie de importanta si urgenta. Incercam sa raspundem in 48h de la primirea oricarui mesaj.