Implant dentar

Laterali lipsă

Programează-te

Arhitect de tratament

Specialisti

Tehnicieni dentari

Ioana Popp

Suport logistic

Maria Macarescu

Proceduri

Aparat dentar

Implant dentar

Fatete dentare

Coroane dentare

Tratamentul de canal

Obturatii de compozit

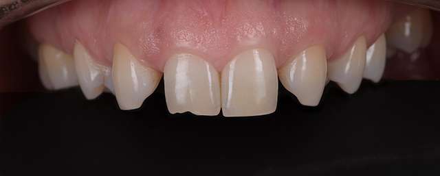
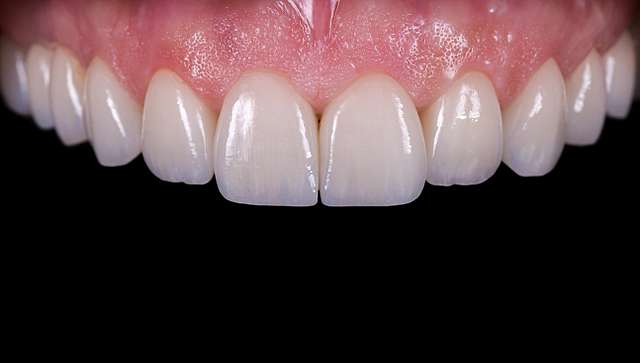
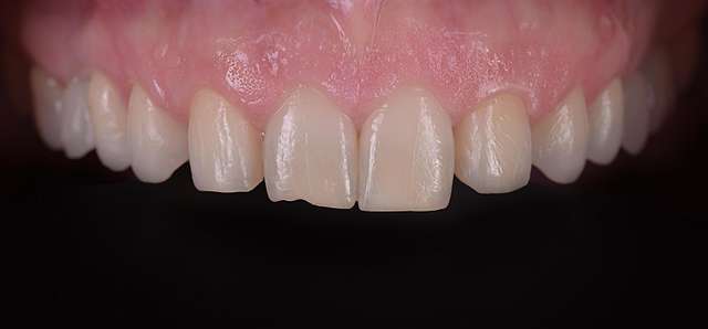
În acest caz am ales o abordare mai atipică. În loc să deschidem spațiile pentru lateralii care lipseau, am ales să le închidem cu ajutorul aparatului dentar. Ulterior am transformat caninii în laterali și premolarii în canini, cu ajutorul fațetelor dentare. Asta ne permite să poziționăm implanturile dentare la nivelul premolarilor, în loc de laterali, o decizie strategică pe termen lung, astfel încat orice posibilă complicație ar fi mult mai ușor de gestionat. De asemenea fațetele dentare ne dau o versatilitate din punct de vedere estetic. Acest caz este publicat și în Compendium of continuous education in Dentistry - 2021 și prezentat pe larg în seria cursurilor RAW, din cadrul Dentcof Masterclass.

   

Treatment architect

Specialists

Technicians

Ioana Popp

Logistics

Maria Macarescu

Procedures

Aparat dentar

Implant dentar

Fatete dentare

Coroane dentare

Tratamentul de canal

Obturatii de compozit

Programează-te

Contactati-ma in 48h

Contactati-ma in 24h

Am fost informat ca, pentru a raspunde solicitarii mele, Dentcof va prelucra datele personale de mai sus conform Politicii de confidentialitate .

Raspundem la email in functie de importanta si urgenta. Incercam sa raspundem in 48h de la primirea oricarui mesaj.

Programează un consult

+4 0373 808 103

contact@dentcof.ro

Raspundem la email in functie de importanta si urgenta. Incercam sa raspundem in 48h de la primirea oricarui mesaj.