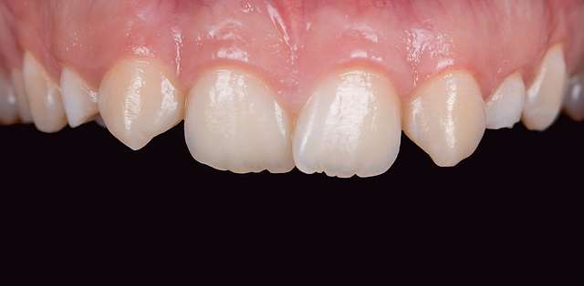
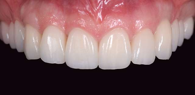
Andrada s-a nascut cu lateralii lipsa si avea caninii permanenti pe poziția lateralilor. Canini temporari erau pe poziția caninilor permanenti. Design-ul in acest tip de cazuri este o suma de detalii si iluzii optice, pe langa deciziile evidente. Tratamentul in cazul ei a fost unul cu implanturi dentare pe pozitia caninilor de lapte si remodelarea zambetului cu ajutorul fatetelor dentare. Dintre detalii de finete este important sa mentionam grefele de tesut, care sunt esentiale odată cu inserarea implanturilor la nivelul caninilor si care ne ajuta sa obținem un profil mai natural al gingiei, caninul fiind natural un dinte cu o rădăcina voluminoasă.
Un alt detaliu este obtinerea unui profil suplu la nivelul viitorilor dinți laterali. Pentru asta, e nevoie sa reducem din circumferinta radacinii caninilor care sunt pe poziția lor. Un ultim detaliu este redistribuirea spatiilor, cu ajutorul alungirii coronare. In mod natural, un canin ocupa un spatiu mult mai lat ca un lateral, care rezulta intr-o proportie inestetica, dacă pur si simplu schimba forma dintelui, folosind același spatiu. De cele mai multe ori, ca si in exemplul de fata, e nevoie sa alungim dintele pentru a ii reda supletea, prin remodelarea gingiei.
