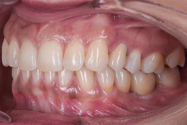
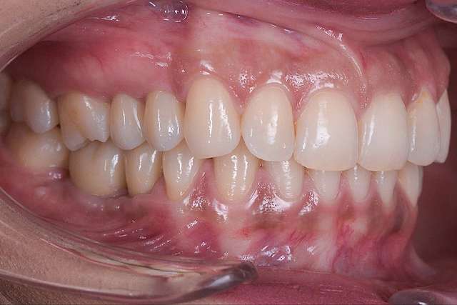
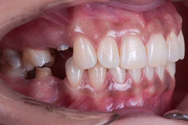
Implanturile dentare sunt tratamente indicate pentru dinti care nu mai sunt recuperabili. Implanturile au la baza lor principiul osteointegrarii, altfel spus, implantul se integreaza in os. Pentru o perioada lunga de timp, acesta a fost principalul obiectiv la nivel de industrie. Implantul sa fie integrat, sa fie plasat in functie de os. Astazi stim deja ca osteointegrarea este extrem de predictibilă si ne focusam pe alte elemente cheie care fac diferenta in calitate la un dinte restaurat cu implant dentar.
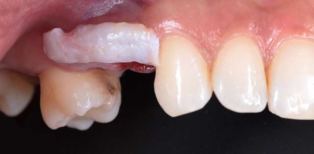
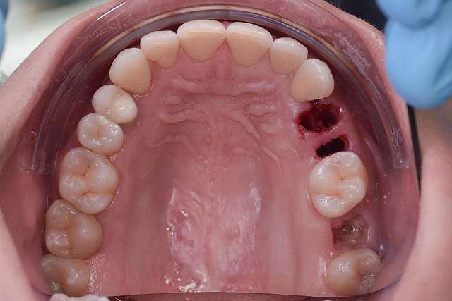
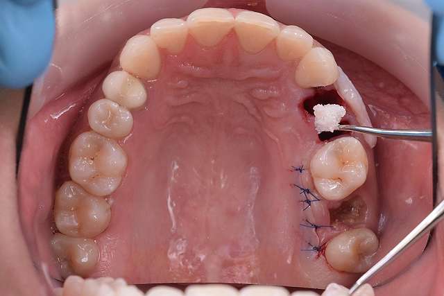
Chirurgia ghidata, ne faciliteaza o pozitie ideal pre-planificata, care nu tine cont doar de os, ci si de o pozitie optima in relatie cu viitorul dinte.Chirurgia ghidata înseamnă o precizie crescuta, care inseamna siguranta mai mare, timp operator mai scazut, si trauma mai mica. De asemenea focusul in acest tip de interventii a migrat spre reconstructia tesuturilor, care e pe termen lung are un impact mult mai mare atat estetic cat si biologic, inserarea implantului in sine fiind trivializata de folosirea ghidului chirurgical. Cazul de fata este un exemplu al acestui tip de abordare.
