Ghidurile
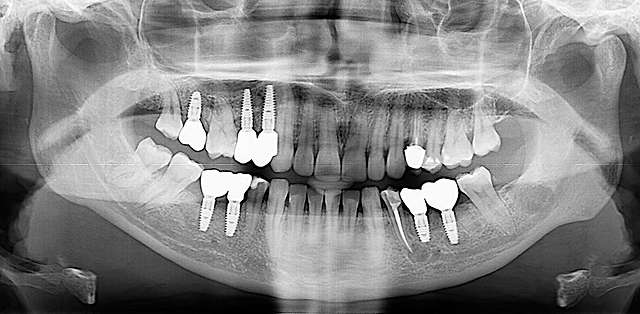
Ghidurile chirurgicale sunt utilizate pentru o siguranta si o precizie sporita in cazurile complexe care necesita tratamentul cu implanturi dentare. Ghidurile sunt printate 3D, conform planificarii digitale a chirurgiei, folosind un software specializat si radiografia 3D a pacientului. (computerul tomograf)
Planificarea si design-ul digital
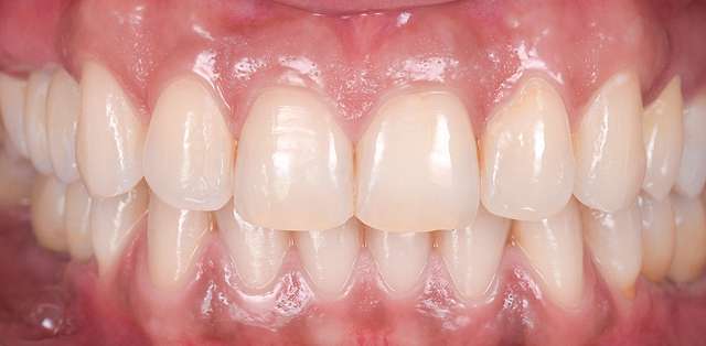
Pentru un rezultat estetic ideal, design-ul final trebuie sa fie intotdeauna referinta pentru chirurgie. Design-ul si computerul tomograf al pacientului sunt compilate pentru a primi pozitia ideala a implanturilor dentare
Sigur si precis
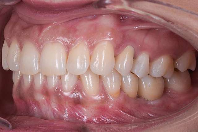
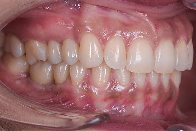
Chirurgia ghidata este sigura si precisa. Ghidul chirurgical este recomandat in cazurile cu un nivel ridicat de dificultate, sau in cazurile complexe, pentru a minimiza riscurile si complicatiile.
Reducere semnificativa a traumei
Cand procedura insertiei implanturilor dentare se realizeaza cu ajutorul chirurgiei ghidate, chirurgia in sine este mai simpla, iar trauma este mai redusa, in special asupra tesuturilor moi. Astfel, obtinem o vindecare mai rapida, si un comfort sporit post operator.
