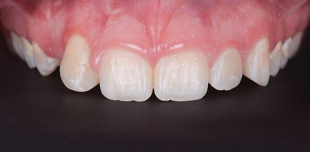
Ce face cazul de fata dificil este contextul. Pacienta vine dupa un tratament cu aparat dentar, de care nu e multumita, si cum se intampla in marea majoritate a cazurilor de genul, nu mai vrea sa auda de aparat dentar. Ceea ce ne lasa cu o serie de probleme de gestionat. Avem un canin pe pozitia lateralului, cu un nivel gingival ridicat cu mult peste ce ne-am dori pentru un lateral. De asemenea caninul prin definiție este un dinte voluminos, atat ca si coroana , cat si ca si radacina. In plus, nu avem spatiu optim pentru un implant.
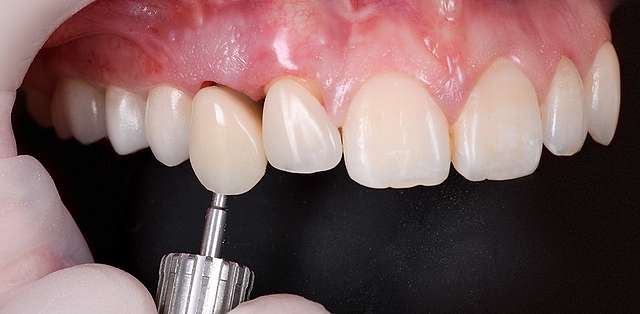
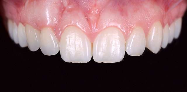
Elementul cheie in acest caz a fost reducerea radacinii caninului, pentru a putea obtine un profil suplu al viitorul lateral, si in acelasi timp, a crea spatiu optim pentru un implant dentar care il vom insera ghidat, pentru precizie maximala. De asemenea am remodelat gingia si am preparat fatete aditive pe laterali si premolari. Centralii i-am pastrat naturali, doar le-am imbunatatit proportia prin alungirea coronara.
