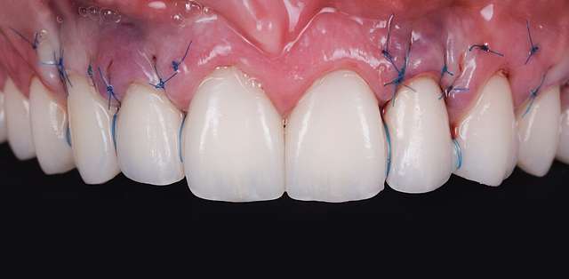
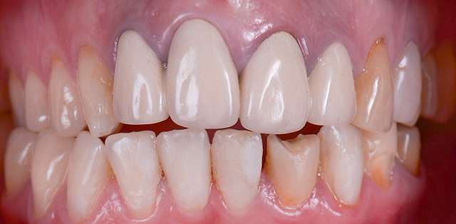
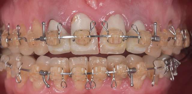
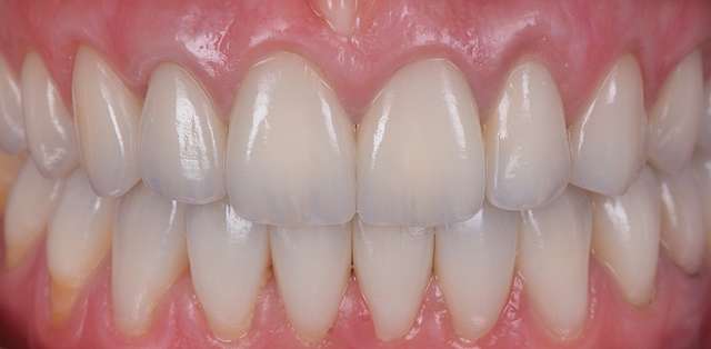
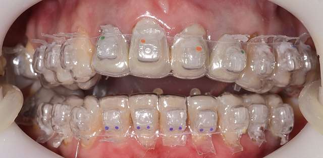
Cand complexitatea cazului o cere, e nevoie de abordare si echipa multidisciplinara. Un tratament multidisciplinar este prin definiție un tratament in care multiple discipline sunt prezente. Un tratament multidisciplinar de succes este un tratament unde aceste discipline cad de acord asupra unui plan comun, si il executa cu o precizie militara. Planificarea exacta, relatia din cadru echipei si suveranitatea deciziilor sunt doar cateva din lucrurile esentiale la un tratament care poate dura 2 ani de zile sau mai mult. In primul rand, pacienti care aleg sa aiba curajul si dedicatia pentru astfel de transformari, obliga un devotament cel putin egal din partea echipei care ii trateaza.
Disciplina e bazata pe documentare constanta si pe o planificare draconica pe fiecare segment, care in acelasi timp este centralizata intr-un design unic. Suveranitatea deciziei o are specialistul cu cea mai mare răspundere in finalizarea cazului. In cazul de fata este ortodontul, care are cea mai grea parte. Nu vrem sa va stricam plăcerea de a vedea povestea pe larg. Acest caz este prezentat pe larg în prestigioasa publicatie Quintessence Journal 2021.
