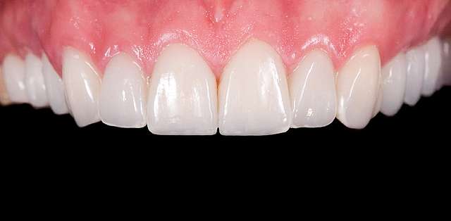
Mock-up-ul modern este varianta vizuala la un plan de tratament. Tradițional mock-up-ul era folosit exclusiv pentru a testa o 'macheta' a unei viitoare lucrari. In prezent mock-up-ul este folosit uzual la fiecare inceput de tratament pentru a transpune vizual impactul procedurilor propuse si a ajuta pacientul sa inteleaga cum va arata zambetul final. Tot acest proces este neinvaziv, si reversibil. Mock-up este transferat peste dintii pacientui si se folosesc o serie de iluzii optice pentru a simula zambetul viitor. Pentru asta se folosesc fotografii sau video-uri pe care ulterior pacientul si echipa care il trateaza pot discuta folosind un draft vizual.
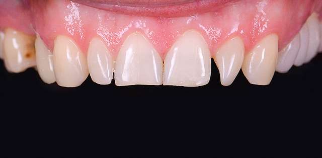
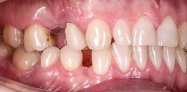
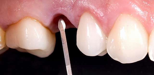
Un mock-up la fel ca si un tratament este o simulare pentru o serie diversa de proceduri , care difera de la caz la caz. In cazul de fata implanturi dentare cu grefe de tesut in ambele zone posterioare, si fatete dentare si alungire coronara in zona anterioara pentru a balansa zambetul. Ca un de detaliu puteti observa cum cu un marker negru medicul simuleaza zona din dinte care urmeaza sa fie redusa. Mock-up-ul odata acceptat devine pilon central intr-un tratament interdisciplinar. In functie de acesta se remodeleaza gingia, se alege poziția optimă a implanturilor si se prepara dintii pentru viitoarele restauratii.
