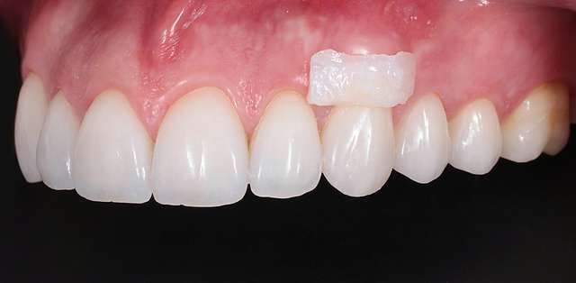
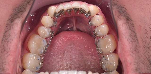
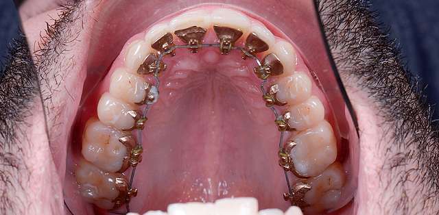
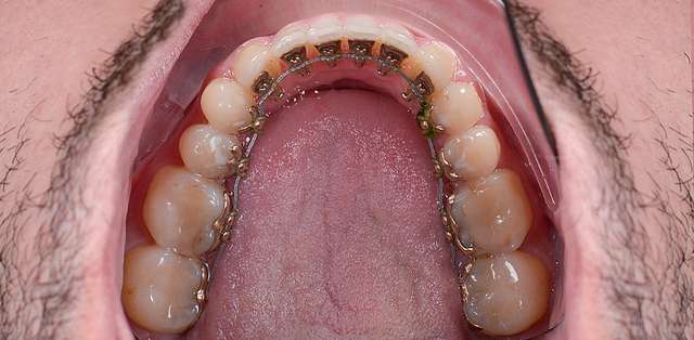
Sunt 3 perspective din care gandim si evaluam stabilitatea unui tratament cu fatete si mantenanta lui. Prima pespectiva este una de executie tehnica. Aici e vorba de obicei de erori umane sau de un protocol care nu e clar sau nu e respectat (in special cel adeziv , cum sunt lipite fatetele). De obicei, intr-o clinica buna, aici sunt cele mai putine erori, si sunt si cel mai usor de gestionat. A doua perspectiva este cea funcțională, aici lucrurile devin mult mai complexe si eventualele erori de planificare nu sunt usor de corectat, de multe ori presupun un rework complet.
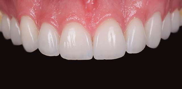
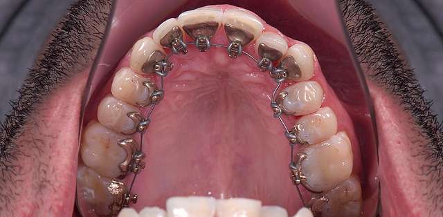
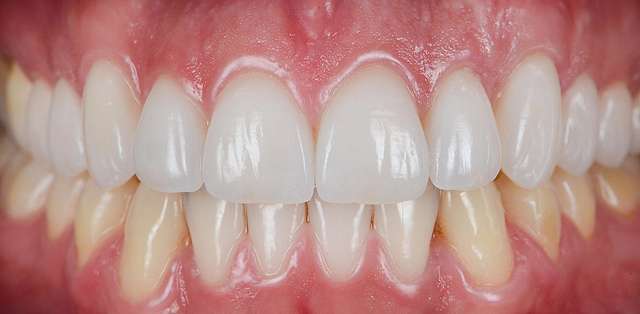
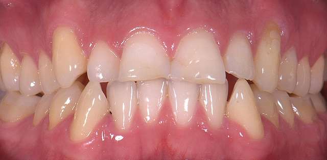
In acest caz de exemplu, care a fost executat in 2015, conditiile functionale au fost realizat printr-un pre-tratament ortodontic, si cazul este stabil si la momentul la care cititi aceste randuri. A treia perspectiva este cea biologica. Stabilitatea biologica nu se refera implicit la fatete ci la tesuturile din jurul lor. Spre exemplu in acest caz dupa 3 ani, am facut o mica grefa gingivala ca un tratament de mantenanta, pentru a compensa o retractie gingivala. Mantenanta este indirect proportionala cu planficarea si executia. Cu cat un caz este mai bine executat si planificat cu atat este mai stabil in timp. Acest caz a fost publicat in prestigiousul jurnal JCD ( Journal of Cosmetic Dentistry 2018 )
