Fatete dentare

Cum schimbam fatetele dentare

Programează-te

Arhitect de tratament

Specialisti

Tehnicieni dentari

Ioana Popp

Suport logistic

Maria Macarescu

Proceduri

Fatete dentare

Implant dentar

Coroane dentare

Alungire coronara

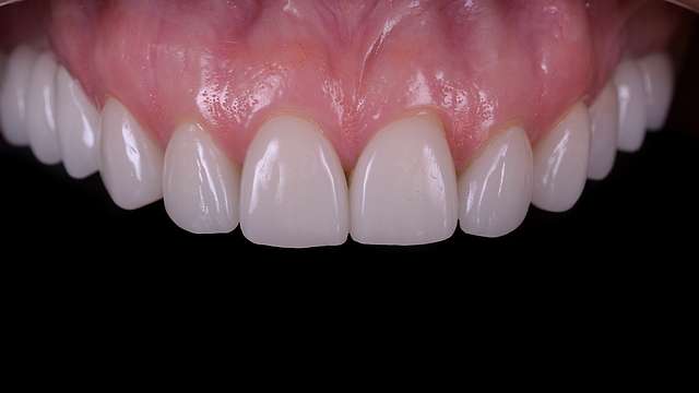
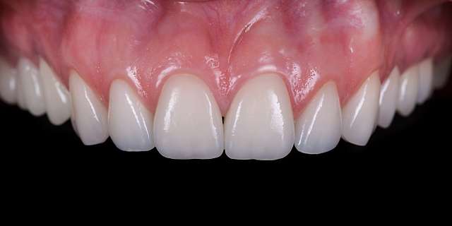
Aceste fațete arată încă impecabil din punct de vedere biologic. Au fost puse în Statele Unite acum 12+ ani. După 12 ani, putem spune că au fost extrem de greu de dat jos. Durata de viată a fațetelor poate varia între 10 și 30 ani. Și dacă sunt bine executate, întreținute, ele arată impecabil pe termen lung. Motivul pentru care le schimbăm în acest caz este pentru a reoptimiza design-ul în funcție de țesuturile dentare care au o retracție fiziologică pe masură ce îmbătrânim. De asemenea, am rebalansat zonele posterioare unde am schimbat niște punți existente în restaurații pe implanturi dentare, și am remodelat țesuturile. Din acest motiv, arată totul mai armonios.

   

Treatment architect

Specialists

Technicians

Ioana Popp

Logistics

Maria Macarescu

Procedures

Fatete dentare

Implant dentar

Coroane dentare

Alungire coronara

Programează-te

Contactati-ma in 48h

Contactati-ma in 24h

Am fost informat ca, pentru a raspunde solicitarii mele, Dentcof va prelucra datele personale de mai sus conform Politicii de confidentialitate .

Raspundem la email in functie de importanta si urgenta. Incercam sa raspundem in 48h de la primirea oricarui mesaj.

Programează un consult

+4 0373 808 103

contact@dentcof.ro

Raspundem la email in functie de importanta si urgenta. Incercam sa raspundem in 48h de la primirea oricarui mesaj.