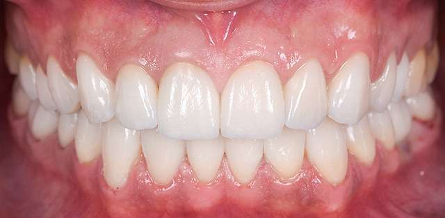
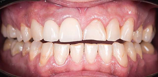
Problemele de muscatura pot fi multiple si se manifesta prin simtome cum ar fi: dureri de cap, tensiune musculara, bruxism. Ca efecte in timp ele pot duce la abrazia dintilor, sau probleme parodontale. In acest caz, pacientul este tanar si sanatos, tesuturile din jurul dintilor sunt stabile, asa ca efectele se vad pe dinti, care sunt abrazati.
Logica de tratament in aceste cazuri este in primul rand stabilizarea ocluzala, care am facut-o cu ajutorul unei gutiere. Tratamentul cu gutiere ne permite sa validam un diagnostic si un plan de tratament intr-un mod reversibil. Odata ce simtomele dispar dupa ce pacientul poarta gutiera, putem face design-ul final in ceramic, pentru a avea un rezultat permanent.
