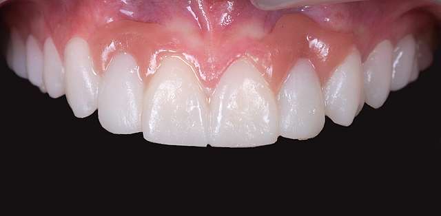
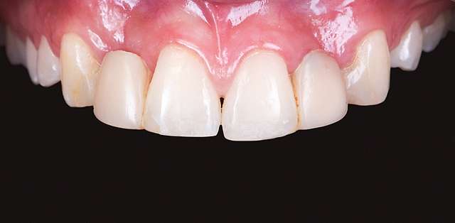
Tot mai multi tineri se nasc fara incisivi laterali. In general se evita implanturile dentare la tineri sub 18 ani, dintr-un motiv simplu. Implantul are o pozitie fixa, iar dintii inca erup.
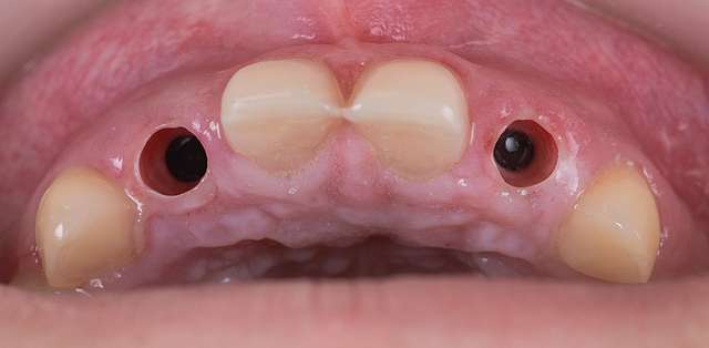
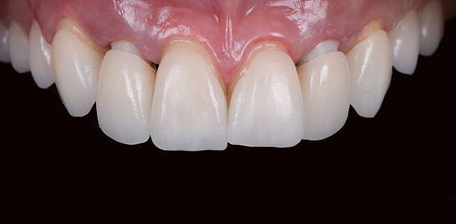
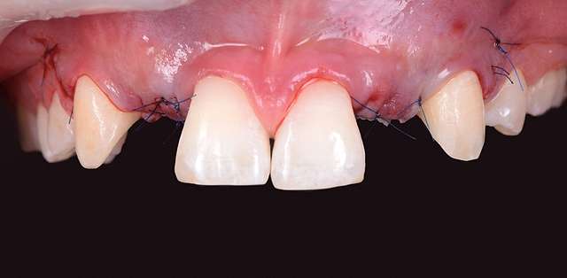
Problema e ca in acest timp are loc si o rezorbtie osoase, si pe cand vine varsta potrivita pentru a insera un implant, nu mai este os suficient. Inserarea implanturilor implica in toate aceste cazuri si aditie osoasa / grefa gingivala, pentru a putea obtine un rezultat natural.
