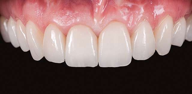
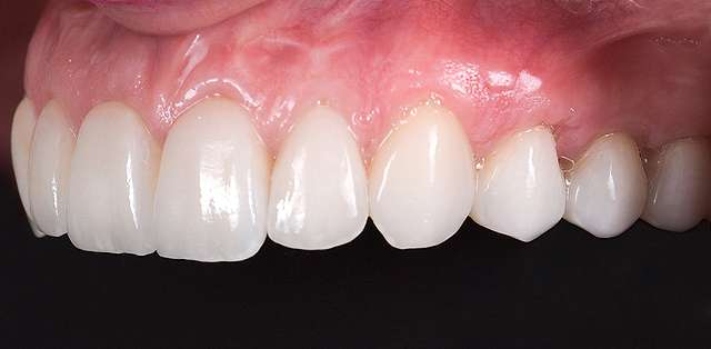
Fatetele dentare sunt in natura lor tratamente predictibile si stabile in timp. Stabiliatea in timp depinde de o serie de factori. In primul rand, respectarea unui protocol adeziv strict. A doilea factor cheie este stabilitatea functionala. Aceasta vine in mare parte din planificarea cazului, iar ulterior din monitorizarea in cadrul controalelor de rutina. Nu in ultimul rand, stabilitatea biologica, care la fel ca cea functionala, tine atat de executie cand si de evolutie in timp.
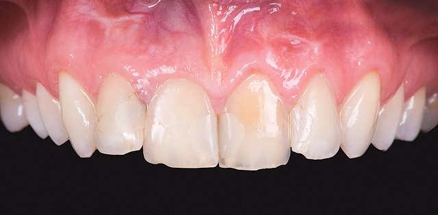
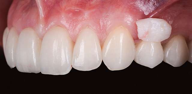
In cazul de fata avem un astfel de exemplu. Fatetele au fost realizate, si odata cu ele am facut o grefa la nivelul premolarului, pentru a preveni retractia gingivala (la nivelul acestui dinte se observa o bariera prea mica de gingie fixa, in plus mai avem insertia unei bride care este un alt factor de risc). Acest caz a fost realizat in cadrul unei demonstratii live - curs RAW, Dentcof 2015.
