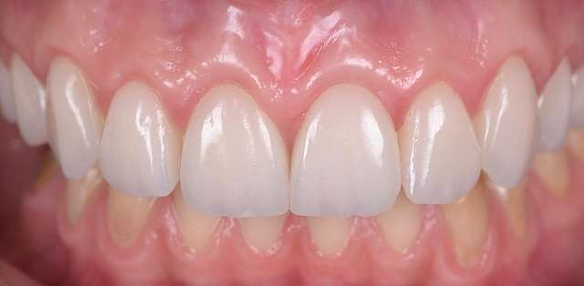
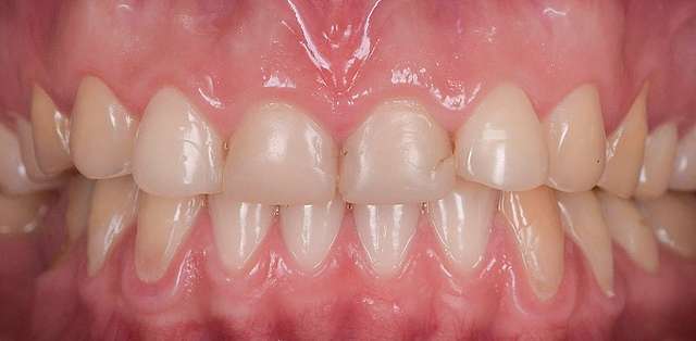
9 din 10 cazuri de fatete dentare au nevoie de mici reconturari gingivale. In cazul de fata, am reconturat gingia cu un laser, folosind un ghid de alungire. In aceasi interventie am facut si o frenectomie (aceasta interventie e cateodata indicata cand insertia frenului este prea joasa). Odata cu reconturarea gingiei, este important sa se recontureze si nivelul osos, altfel rezultatul nu este stabil in timp.
In acest caz, am reconturat osul fara lambou, folosind un instrument special bazat pe ultrasunete. Asta ne permite sa facem toate aceste proceduri in aceeasi sedinta, fara timpi suplimentari. Reconturarea permite proporții mai suple la viitoarele fatele, si egalizarea nivelelor gingivale, care duc la un echilibru estetic si biologic.
