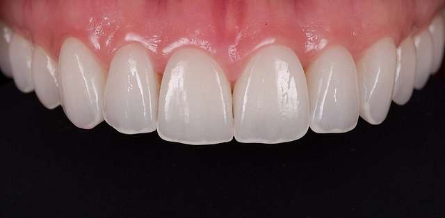
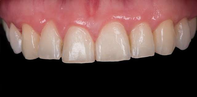
Acest caz este un exemplu de contra-curent in design, Intr-o industrie care ne învață sa urmarim simetria si perfecțiunea. Ceea ce face acest caz deosebit este diversitatea folosită in design. Mai exact au fost folosite 12 forme naturale unice, dintre care nici un dinte nu este la fel sau nu e pereche cu celalat. Toate formele folosite sunt toate asimetrice.
Le-am echilibrat ca poziție in raport cu zambetul si le-am dat luminozitate si viata printr-o ceramica sticloasa. A fost unul din primele experimente de design care au demonstrat niște adevăruri oarecum evidente. Armonia e ușor de construit cu elemente naturale. Exista o magie in natura: Totul e diferit, si totul e unic. Natura e armonie. Armonia e frumusete.
