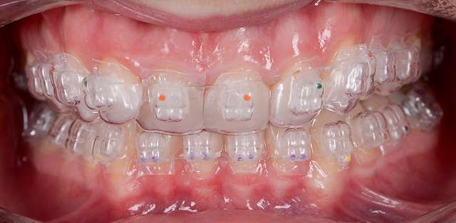
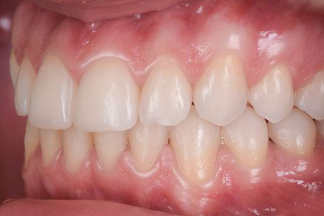
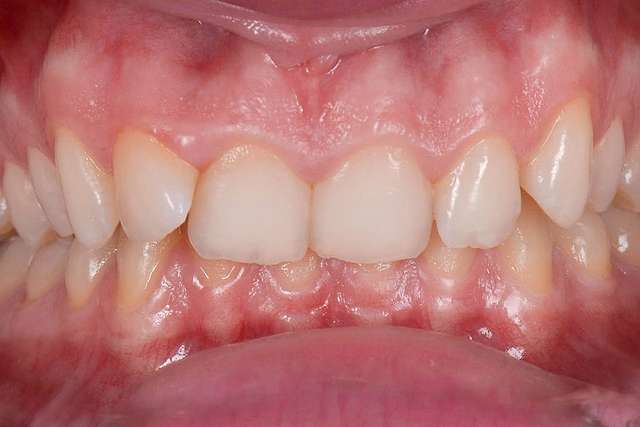
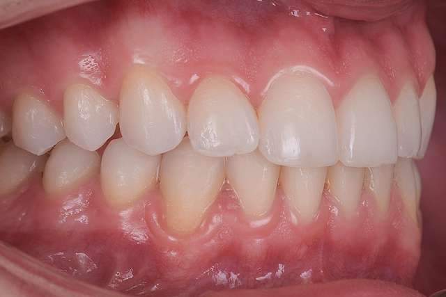
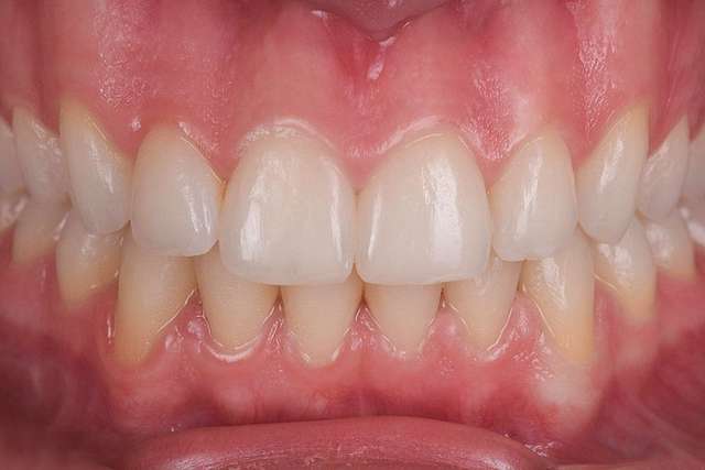
De cele mai multe ori, cand tratamentul ortodontic este o optiune pentru reabilitarea zambetului, este o optiune extrem de solida. In sensul in care faciliteaza tratamente mai putin invazive si prin urmare rezultate mai longevive. In cazul de fata, zambetul putea fi reabilitat si cu fatete/coroane dentare si alungire coronara. Avantajul ar fi fost, un tratament rapid. Dezavantajul ar fi fost : un tratament semnificativ mai invaziv. Alternativa care am ales-o a fost aparat dentar, in cazul de fata e vorba de un tratament ortodontic chirurgical pentru compensarea treptei sagitale ( maxilarul e mult mai in fata / mai mare decat mandibula ).
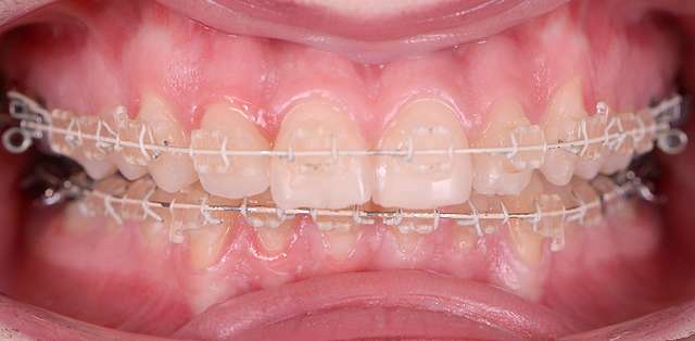
In acest caz alternativa ortodontica are un beneficiu evident nu doar la nivelul dintilor, ci si la nivel facial, armonizand etajele fetei si profilul pacientei. In plus, pacienta are dinti naturali integri si forme frumoase. A fost nevoie doar de niste mici corecții din compozit in plus fata de tratamentul ortodontic in sine, pentru a ne atinge obiectivul in materie de design. In concluzie, daca dintii sunt integrii, si au proportiile care ni le dorim pentru design, tratamentul ortodontic e o alternativa superioara, mai ales cand putem avea si beneficii la nivel facial prin repozitionarea structurilor dure. Acest caz a fost publicat in prestigiosul jurmal german Kieferorthopäde Nachrichten, editia noiembrie 2017.
