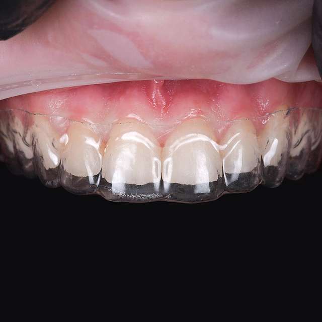
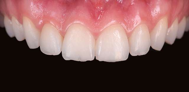
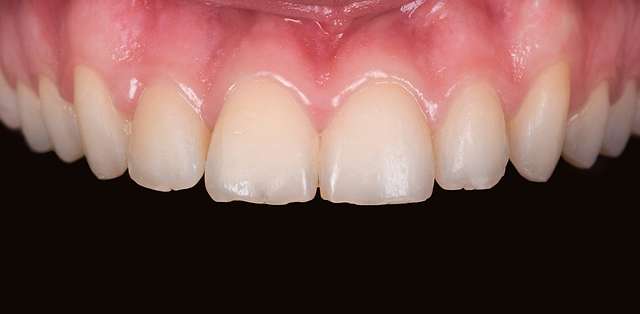
Aceasta procedura este recomandata in cazul dintilor naturali sanatosi, pentru a potenta culoarea acestora, si pentru a-i face mai luminosi. Albirea dentara este o procedura non-invaziva. Rezultatele sunt variabile in functie de structura dintilor, cu toate acestea, in medie, culoarea devine mai deschisa cu 2-3 nuante in urma albirii, care se mentine intre 2-5 ani, in functie de alimentatie. Pentru rezultate de lunga durata, permanente, alternativa albirii sunt fatetele dentare.
Daca la albirea dentara, structura dintilor limiteaza nuanta rezultata, in cazul fatetelor dentare exista libertatea de a alege orice nuanta dorita. Alternativa se recomanda daca exista restauratii cu compozit in zona frontala, sau daca nuanta dintilor este natural inchisa la culoare,neputand fi potentata prin albire. In cea de-a doua ipoteza, pentru a ajunge la nuanta dorita, putem folosi fatete de tip skin care reproduc forma dintilor dumneavoastra naturali, insa au culoarea aleasa. Fatete Dentare
Intrebari frecvente
Albirea afecteaza dintii?
Albirea profesionala nu afecteaza integritatea dintilor.
Cat de dureroasa este albirea ?
Procedura albirii dentare nu este dureroasa. Unii pacienti pot experimenta o usoara sensibilitate in urmatoarele 24 ore.
Cat timp dureaza efectul albirii?
Intre 2 si 5 ani, in functie de obiceiurile alimentare. Pentru un rezultat de durata se recomanda o igiena bucala riguroasa, efectuarea unei igienizari profesionale o data la 6 luni si o atentie la alimentele pigmentate puternic care pot colora dintii.
Se poate efectua albirea la fatete, coroane sau plombe?
Nu. Doar asupra dintilor naturali. Pentru dinti mai albi, in situatiile cu multe restauratii, fatetele dentare sunt alternativa mai buna.
