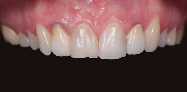
Folosind logica am spune ca totul depinde de cat de larg zambeste pacientul. Daca descopera sau nu gingie cand zambeste. Dar, lucrurile nu sunt atat de simple si in realitate estetica este tot timpul nuantata de psihologie si natura umana. Mai exact cand un pacient doreste o schimbare sau imbunatatire a zambetului se poate presupune ca nu este tocmai multumit sau multumita de zambetul lor. Iar cand noi documentam cazul, vom vedea tot timpul un zambet mai controlat, mai timid, mai putin expresiv, decat cel real. Ca si impact clinic, buza superioara va fi tot timpul mai coborata in realitate, din cauza unei expresii controlate.
Asta poate induce in eroare in planificarea zambetului, prin a crede ca o remodelare nu este necesara, pentru ca 'nu se vede gingia'. Acest scenariu este posibil, dar de cele mai multe ori, e aceasta logica este gresita, pentru ca odata cu schimbarea zambetului, perceptia psihologica a pacientui se schimba, si muschii mimicii vor mari display-ul zambetului, iar buza superiora in marea majoritate a cazurilor va urca mai sus. In alte cuvinte tot timpul trebuie sa pornim de la aceasta premiza, cand luam in calcul un smile design, un tratament cu fatete dentare, sau mai ales pozitia unui implant dentar.
Remodelarea, mai ales cand este realizata pe baza unor principii biologice, ar trebui tot timpul sa fie luata in calcul.Cazul de mai sus e un bun exemplu. In toata documentarea initiala, in nici o poza nu reuseam sa facem pacienta sa arate gingia. Si spunea ca toata lumea in fata camerei "asa zambesc eu" sau 'eu nu prea zambesc' sau 'eu nu stiu sa zambesc'. Si noi raspundem acelasi lucru de fiecare data. "stim, dar de asta esti aici, ca sa inveti' sau "zambetul e libertate' sau "daca la final vezi zambi tot controlat inseamna ca am dat noi gres'.
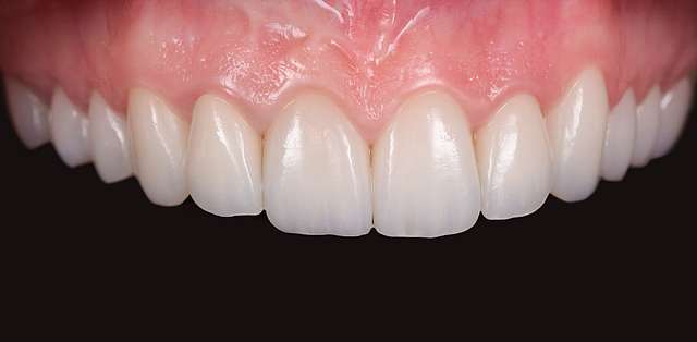
Am intuit ca nu va fi o exceptie de la regula si am planificat si executat o remodelare gingivala. Pentru ca stim ca daca avem dreptate, va conta enorm la final. Iar daca nu avem, nu am pierdut nimic, pentru ca am respectat reperele biologice. In pozele de final se poate vedea cum expresia schimba display-ul si cat de important e ca planing-ul sa tina cont de asta. Zambetul e plin, luminos, echilibrat si poate cel mai important: liber
