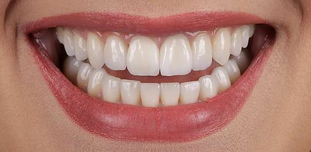
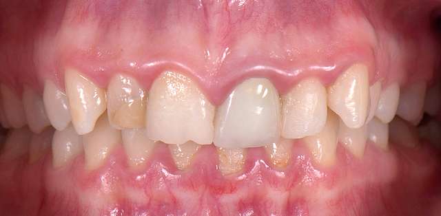
Tratamentele ortodontice chirurgicale, cum e cazul de fata sunt probabil cele mai complexe cazuri multidisciplinare, unde atat planificarea are un rol cheie, cat si logistica speciala pe care aceste cazuri o necesita. Acest tip de tratamente vin cu imbunatatiri faciale majore, care sunt un efect al repozitionari structurilor dure maxilare si mandibulare si implicit al muschilor si tesuturilor moi. Practic un tratament ca acesta imbina cam toate disciplinele, de la ortodontie (aparat dentar) la chirurgie ortognata, chirurgie plastica (rinoplastie), terapie (tratamente de canal, reconstructii) si bineinteles protetica dentara (fatete dentare).
Un astfel de tratament poate dura 1-2 ani, si e nevoie de o planificare draconica, care începe cu un design unic, pe care toate specializarile il au ca reper. Urmat de un plan de tratament, cuprinde toate procedurile implicate, din care rezulta alcatuirea unei echipe care sa contina competențele necesare. Un rol cheie il are laboratorul, care funcționează ca un turn de control la tot ce se intampla clinic, si care suprapune periodic seturile de date si le verifica in relatie cu design-ul. Aceasta disciplina logistica, previne problemele de comunicare sau mici erori care pot scapa neobservate si este elementul cheie in succesul unui tratament multidisciplinar.
