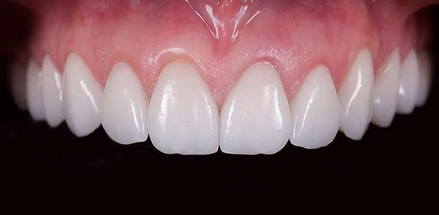
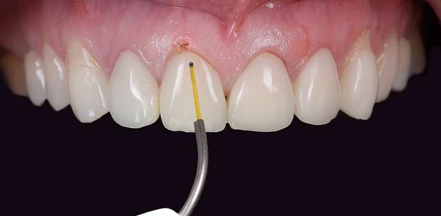
Cand avem de facut un retratament de natura estetica, e important sa identificăm problemele. In cazul de fata, recesia gingiei de pe canini a dus la o dominanta canina in loc de dominanta centrala firească. Am reconturat gingia cu ajutorul laserului si am adjustat nivelul osos cu o tehnica flapless, imbunatatind proporțiile ca sa permita forme mai suple la viitoarele fatete.
De asemenea tot prin aceasta procedura am egalizat nivelele gingivale si am revenit la dominanta centrala. In final am refacut fatetele folosind o geometrie naturala si o ceramica luminoasa.
