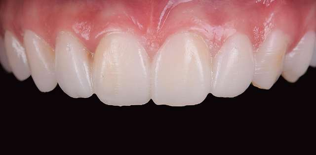
Pe langa problemele evidente, o asimetrie la nivel de central și lateral, mai putem observa niște trăsături, care estetic sau medical nu constituie o problemă, dar de multe ori pot fi chiar motivul pentru care pacientul sau pacienta vrea sa isi schimbe zambetul. Trasaturile de care vorbim sunt legate de ambrazurile incizale, care fac linia zambetului sa fie fragmentata de spații si neregulata. Ambrazurile au acest design natural la copii. In alte cuvinte daca dorim sa obtinem un zambet mai copilăros, putem adauga aceste elemente de design. In cazul de fata, cele doua asimetrii accentuează si mai mult aceasta percepție.Cand cunosti pacientul sau in cazul de fata pacienta, iti poti da seama daca exista o discrepanta dintre cum se percepe ea si ce ii exprima zambetul.
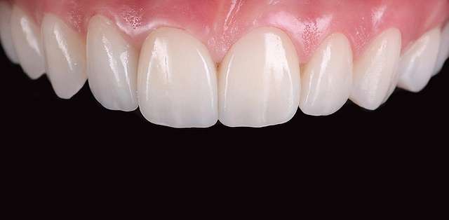
Intuitiv am mizat pe asta cand am creat designul, care bineinteles, nu e o stiinta exacta, fiind filtrata prin ochiul subiectiv al fiecaruia, dar care este validat sau invalidat in momentul in care facem mock-up-ul. La mock-up a fost un moment wow, in care am stiut ca am tintit bine. Am vazut pe ea. Din acel moment, este simplu. Design-ul este reperul pentru fiecare manopera, de la reconturarea gingivala, la preparatia dintilor. E important ca odata inceput tratamentul totul sa fie clar, sa te poti concentra pe detalii, mai ales in cazuri de finete cum este acesta.
