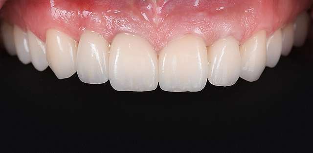
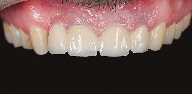
O punte dentara este soluția clasica pentru un dinte lipsa, in cazul de fata un lateral. Dezavantajele la o punte tin in mare de invazivitate (e nevoie de mai mult spatiu prin urmare a pili mai mult din dinti) si de calitatea vietii, spre exemplu la o punte pacientul nu poate curata cu ata dentara intre elemente, ele fiind unite. Alternativa consta in elemente individuale. Pentru asta, unde avem un dinte lipsa vom insera un implant dentar, iar apoi restauratiile atat pe dinti cat si pe implanturi vor fi individuale.
Calitatea vietii creste, pacientul ii simte ca pe dintii proprii, dintii nu mai sunt conectați intre ei. Am schimbat si design-ul atat ca geometrie, folosind forme naturale, cat si ca materiale, folosind o ceramica mai luminoasa, in locul metalo-ceramicii existente. Acest caz a fost executat ca demonstratie live in cadrul a 3 zile de curs live RAW in Dentcof, 2019.
