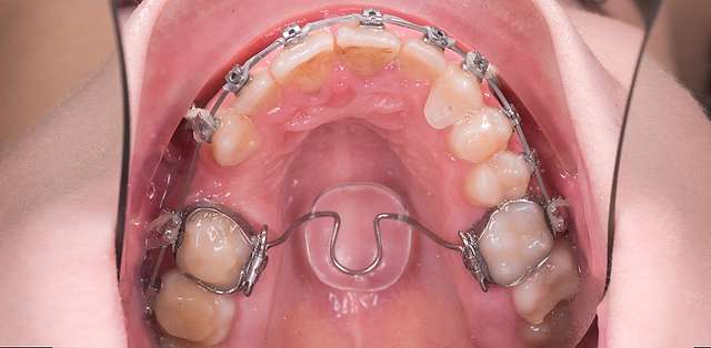
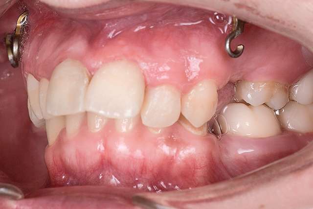
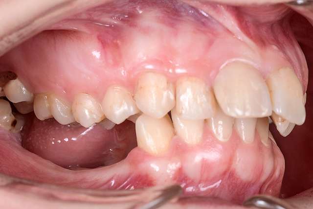
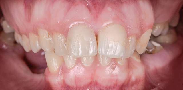
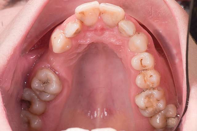
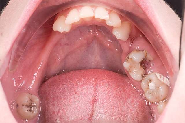
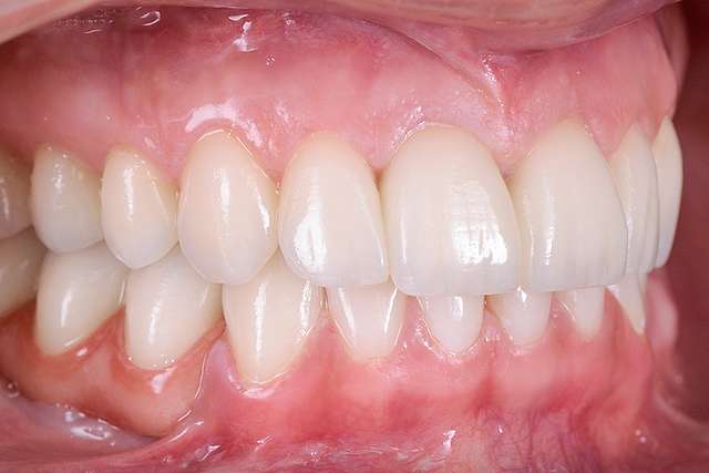
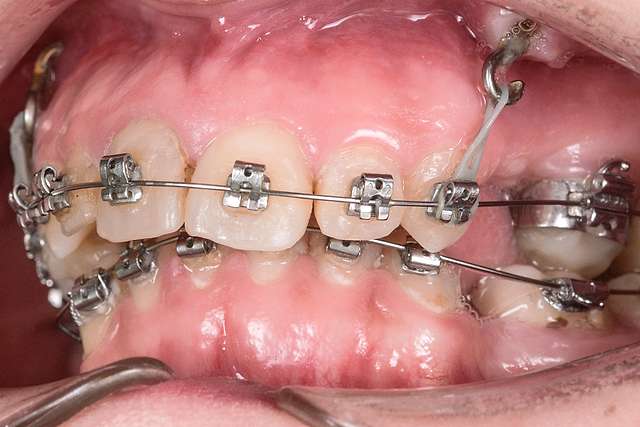
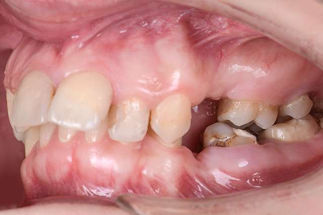
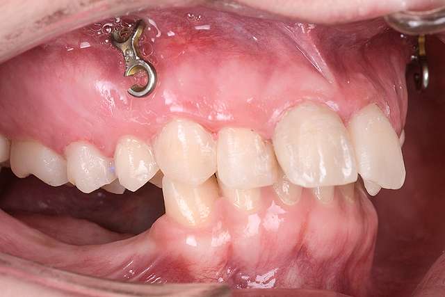
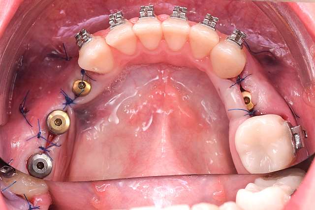
Avem si acum filmarile de la mock-up cand ne-am umplut toti de emotie cand pacienta a izbucnit in plans. Am stiut atunci ca isi doreste foarte mult acest zambet, si ca vom putea sa dam ce avem mai bun. Tratamentul a durat 2 ani jumatete. Aparat dentar cu ancoraj scheletal, in timp ce am recuperat tot ce am putut (nu am extras nici un dinte). Ulterior am inserat implanturi si am recostruit diferit fiecare sit, pentru ca defectele era foarte diferite intre ele.
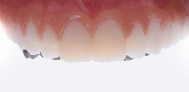
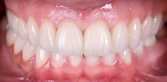
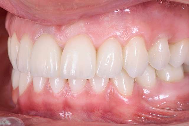
O parte am regenerat tesuturile, alta parte am folosit ceramica roz. Am utilizat si un implant de Bio-Pmma pentru suportul buzei, iar la final fatete si coroane ceramice. Dar ce a facut toate acestea posibile a fost modul cum au fost planificate. Tot planul a fost facut de la inceput, si a inclus toate cele 4 specialitati. Este unul din cazurile in care am invatat mult ca si echipa.
