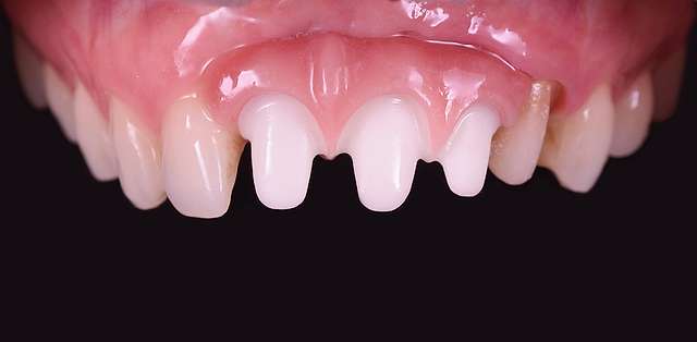
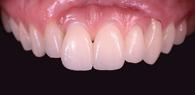
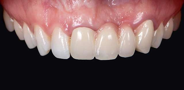
O alternativa pentru cazurile care sunt greu de restaurat chirurgical, in special in defecte mari sau traume este restaurarea cu gingie artificială din ceramica. Aceasta alternativa trebuie tot timpul luata in calcul, cand prognoza chirurgicala este una sub optima. In cazul de fata, desi am fi reusit probabil sa augmentam chirurgical defectul, cu siguranta nu am fi obtinut papilele care le-am fi vrut pentru acest zambet, si fara acestea am fi avut un aspect mai artificial, acela tipic de lucrare.
Alegand in caz sa folosim gingie artificiala, putem avea un rezultat optim si predictibil, intr-un timp relativ scurt. Ce este important la acest tip de restauratii pe implanturi dentare, este interfata cu gingia, care ideal trebuie sa fie plasata intr-o zona in care buza nu o descopera, si sa poata fi curatata usor de pacienta.
