"Pentru oricine are un ciocan, totul arata ca un cui" A. Kaplan. In realitate, de cele mai multe ori, intr-un caz in care ambele variante sunt viabile pentru reabilitarea unui zambet, raspunsul difera in functie de persoana pe care o intrebi. Foarte probabil daca intrebi un ortodont, iti va sugera aparat dentar, sau un tratament cu alignere, iar daca intrebi un protetician, raspunsul va fi fatete dentare. E foarte important sa definim exact ce vrem sa obtinem, si aici raspunsul generic, un zambet frumos, functional, sanatos nu e suficient.
In aceste situatii ne bazam pe design, e important sa vizualizam ce vrem sa obtinem. Cand avem un design dorit, ne putem da seama, daca e fezabil sa realizam asta modificand pozitia dintilor (ortodontie), sau e nevoie sa modificam si forma / dimensiunea lor (protetica). Asta e un mod foarte simplu si eficient de a decide clinic. Si daca nu suntem siguri, sau e la limita, discutam deschis cu pacientul, prezentam plusuri si minusuri si alegem impreuna. De obicei in aceasta decizie, mai sunt si aspecte de decizie care nu sunt neaparat clinice.
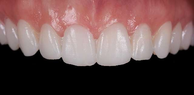
Exemplul clasic e, daca gandesti pe termen lung, aparatul dentar e prima optiune. Daca vrei ceva acum, si nu peste 2 ani, fatetele dentare sunt prima optiune. Alt exemplu la fel de clasic sunt pacienti care vin nemulțumiți in urma unui aparat dentar. Este extrem de greu sa le spui ca o s-o ia de la capat inca 2 ani. Si e de inteles. Cazul de fata, pacienta este un model de renume pentru cateva case importante de moda. In plus e o persoana apropiata, chiar daca ne vedem rar pentru ca traieste la New York.
Am tratat-o in cadrul unui curs live, caz realizat in 3 zile. Si inainte de a incepe exact asta am facut. Un design, si am discutat deschis implicatiile. Odata, clinic, puteam obtine un rezultat bun si cu alignere, doar modificand pozitia dintilor, dar nu puteam schimba dimensiunea lor, ceea ce ne doream ca si design. Asta pe de o parte. Si doi, o puteam face in cateva zile sau in cateva luni. De data asta am ales fatete dentare. Si a fost bine.
