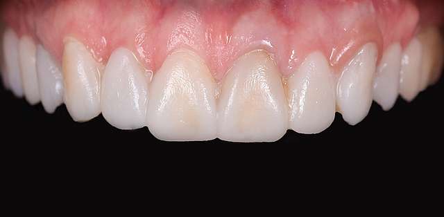
Nu este o regula, dar este unul din lucrurile care le-am avut tot timpul ca semnătura in design: sa intelegem si sa pastram identitatea unui zambet. In cazul de fata, vedem niste forme triunghiulare, frumoase, care au fost alterate de diverse tratamente locale din compozit, unde incet incet si-au pierdut din morfologie. Textura e destul de stearsa. Si ce nu ne place sunt ambrazurile incizare care sunt un pic prea agresive.
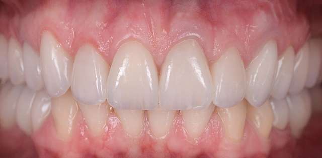
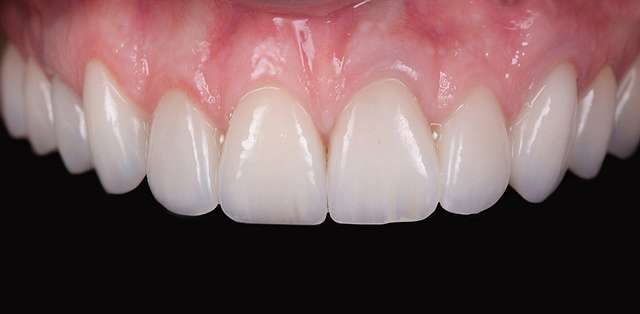
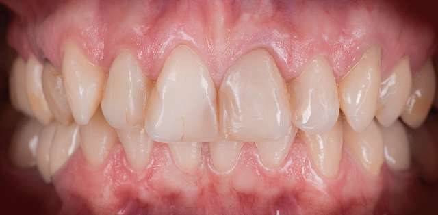
Ca si design vom cauta o morfologie naturala similara cu cea originala, dar mai texturata, ca sa dam un plus de tinerete si o vom pozitiona in asa fel, incat sa inchidem un pic ambrazurile. Practic redam zambetului frumusetea lui de alta data, sau cel putin asa pare pentru pacienta. Identitatea e cel putin la fel de importanta ca si estetica in sine. Intr-o lume extrem de subiectiva a estetici, a intelege identitatea ne antreneaza empatia de a vedea un zambet din acelasi unghi din care il vede pacientul si conteaza enorm in ce putem sa le dam inapoi in procesul de design.
