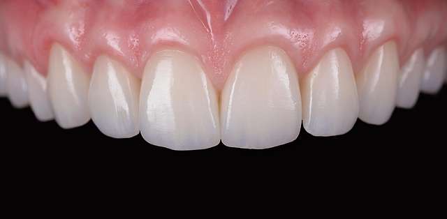
Durata unui tratament cu fatete dentare depinde de 3 lucruri
Complexitate
In functie de complexitate, durata unui tratament poate varia semnificativ. Cazul de fata are o componenta suplimentara de complexitate, in forma alungirii coronare. In functie de cum se realizeaza acest tip de interventie chirurgicala, poate exista un timp de vindecare suplimentar. Aici am folosit o tehnica chirurgicala minim-invaziva fara lambou care ne permite sa reconturam gingiile si osul alveolar si sa preparam dintii in aceeasi zi.
Alte aspecte care pot complica un caz de fatete sunt : Dinti sau gingie inchisa la culoare, Defecte de gingie, Dinti inghesuiti , Probleme scheletate sau functionale si sau multe plombe vechi. Toate acestea adauga la timpul de lucru.
Workflow
Workflow-ul este reteta prin care se executa atat tratamentul in gura pacientului cat si rolul fiecarui specialist si al tehnicianului. Workflow-ul este specific fiecarei clinici. In cazul nostru, alocam o sedinta separata inainte de tratament pentru design si diagnostic si simulam tot tratamentul dinainte sa il incepem. Apoi munca e distribuita in echipa de specialisti alocata si tratamentul e extrem de eficient ca timp.
Cazul de fata a fost realizat in cadrul unei demostratii live, intr-un curs organizat in Dentcof si a fost realizat in 3 zile. Prima zi - planning, chirurgie, preparatii. Ziua 2 : laborator. Ziua 3 : cimentare si finisaje. Acelasi caz daca ar fi fost realizat in afara unui curs ar fi durat probabil 5 zile, care este media noastra pentru un caz de genul.
Logistica
Logistica clasica e simpla: medicul ia amprenta clasica sau optica, si o trimite la laborator care are un timp de lucru. Pacientul vede cei doi timpi adunati, plus curierii, plus orice complicatii sau probleme de comunicare apar. Noi lucram cu sloturi. Un slot este un timp care este pre-alocat la un caz. Atat tehnicienii cat si medicii au slot-uri. Ca sa incepem un caz, trebuie sa avem sincronizat un slot de tehnician cu unul de medic.
Astfel, cand incepem cazul, pacientul sta un timp minim in provizorii, si tehnicianul cu medicul lucrează in timp real, si in aceasi locatie, minimizand problemele de comunicatie si problemele care apar in urma desincronizarii specialistilor. Asta ne permite o viteza aproape dubla fata de media industriei, uneori mai mare, fara sa pierdem calitate pentru marea majoritate a cazurilor. Executia cazurilor vor dura mai mult doar cand complexitatea va creste in mod natural.
