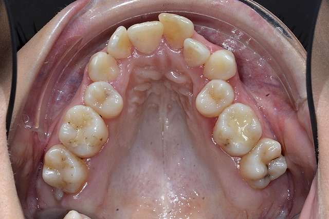
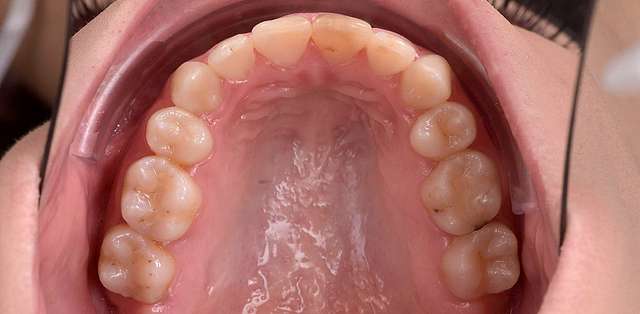
Cazurile complexe au nevoie de mai multe discipline pentru a atinge un rezultat optim, iar cheia e communicarea intre aceste discipline, mai exact intre specialistii implicati. In mod normal exista o secventa logica in care prima data se rezolva problemele scheletale (largirea arcadei) dupa care se rearanjeaza dintii pe arcade se redistribuie spatiile, iar ulterior se realizeaza fatetele dentare.O simpla succesiune consecutiva este o abordare extrem de sensibila, pentru ca nu presupune o abordare de perspectiva.
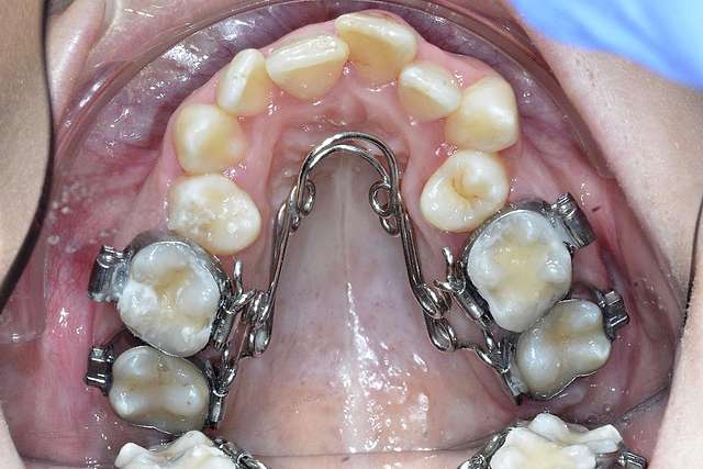
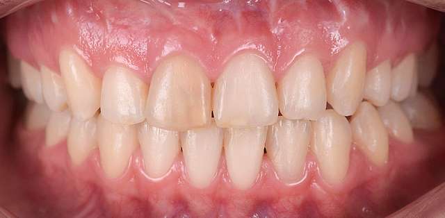
Ortodontul face cum considera si trimite pacientul mai departe la protetician, care la randul lui considera startul cazului situatia care o preia. In realitate, pentru a scoate maximul dintr-un caz, ambii trebuie sa colaboreze din momentul zero si sa cada de acord asupra unui plan comun, care sa ghideze ambele discipline. Acest caz a fost folosit ca prezentare pentru tehnologia de smile design 3shape Smile designer 2018.
