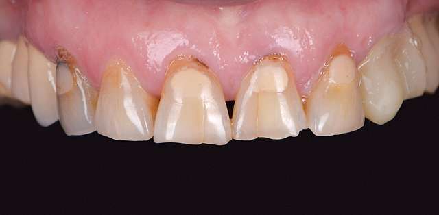
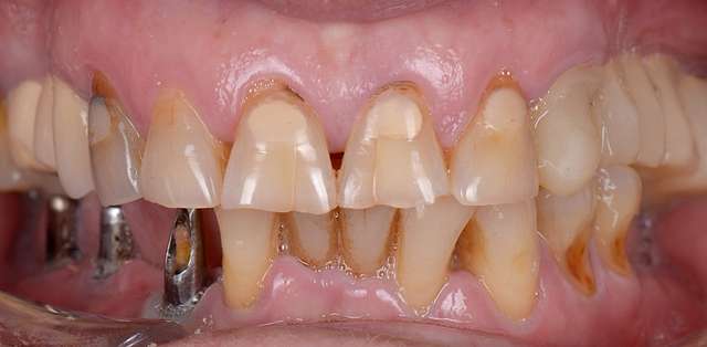
Odata cu trecerea timpului, dintii trec printr-un proces de abrazie fiziologica si se scurteaza. Proportiille lor se schimba, si asta creaza un efect de imbatranire. Se pierde dominanta centrala, care este una din caracteristicile principale ale unui zambet tanar. Se retrag gingiile si apar recesii sau triunghiuri negre.
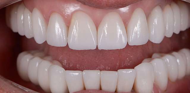
Si bineinteles diversele tratamente lasa si ele o urma, cand imbatranesc. Toate acestea se pot reabilita cu redesign al zambetului folosind fatete sau coroane dentare. Rejuvenarea are loc odata cu restabilirea trasaturilor dintilor tineri in procesul de design. Rejuvenarea unui zambet contribuie semnificativ la rejuvenarea faciala.
