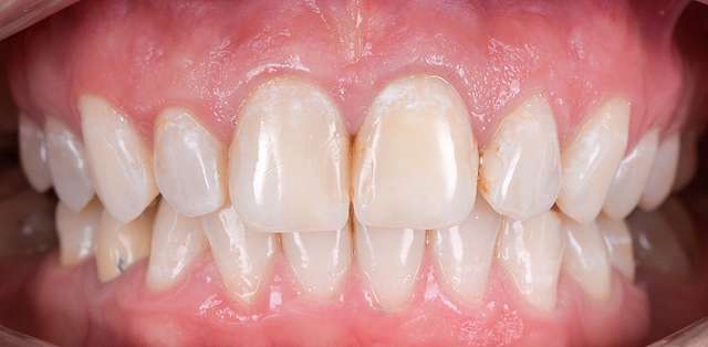
Uneori e vorba doar de cateva detalii pentru a restabili armonia unui zambet. In cazul de fata, lateralii, redusi in dimensiune, creaza o dominanta centrala excesiva. In plus nivele gingivale ale celor doi incisivi centrali sunt mai sus decat al celorlalti dinti, inclusiv decat nivelul caninilor. In schimb, formele sunt frumoase, si ne dorim sa le pastram.
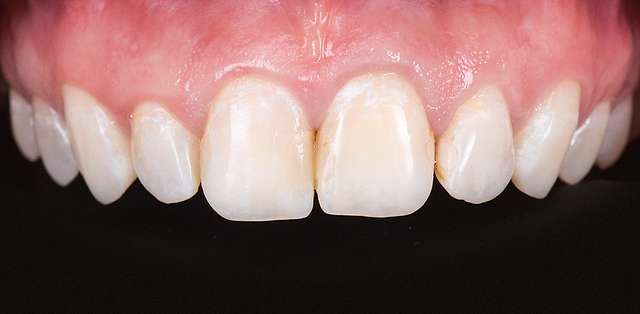
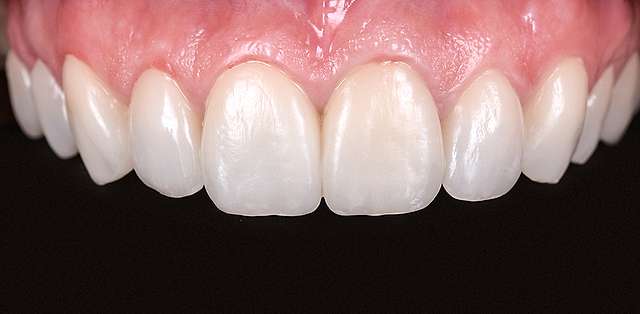
Asa ca am ales sa echilibram nivelele gingivale, si sa folosim o geometrie similara, cu o textura usor mai accentuata. Am scalat lateralii, pozitionandu-l mai sus, si in acelasi timp inchizand usor ambrazurile incizale. In alte cuvinte, am pastrat acelasi stil, si am imbunatatit doar detalii, restabilind armonia cu ajutorul unor fatete ceramice de grosime minima.
