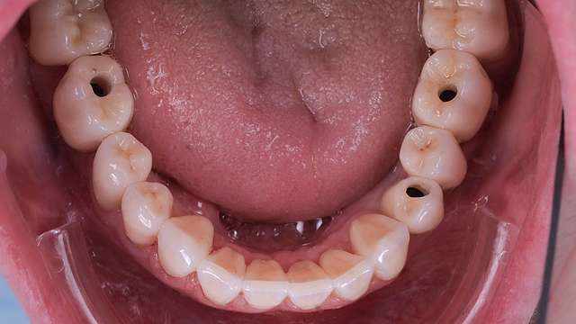
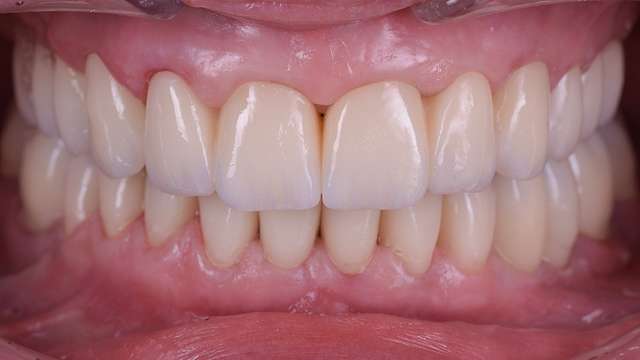
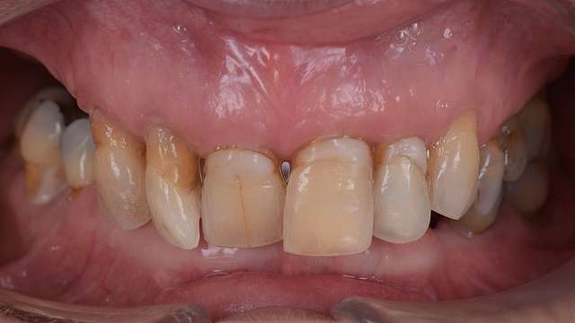
Acest caz, după cum se observă, are o afectare parodontală severă. Dinții sunt mobili, defectele gingivale și osoase sunt mari. Ca și calitate a vieții pentru pacientă, asta înseamnă un gust/miros neplăcut constant, efectul bacteriilor în aceste zone care nu pot fi curațate. Mai înseamnă o inflamație cronică cu efecte sistemice, și nu în ultimul rand, o problemă estetică care se traduce si într-o problemă psihologică / socială. În acest caz o reabilitare pe implanturi este indicată biologic (eliminăm toate sursele de infecție și inflamație), funcțional (pacienta va putea să revină la o masticație confortabilă) și nu în ultimul rând estetic, care într-o situație ca a ei, duce la o transformare de stare și încredere, indiferent de vârstă. Ce e de menționat aici, este naturalețea acestui tip de reabilitare. Este greu să iți dai seama, dacă pacienta are sau nu implanturi și unde sunt acestea. Si tocmai aci, pentru noi, este toata provocarea și bineînțeles, satisfacția.
