Dentcof deține centru propriu de planificare și chirurgie ghidată. Asta ne permite să avem control maxim asupra fiecărei intervenții de la un capăt la altul. De la stadiul de diagnostic și design, până la precizia de execuție. Toate chirurgiile sunt planificate în avans, iar ghidurile și componentele sunt fabricate înainte de a începe procedura. Acest proces înseamnă siguranță chirurgicală și mai ales un grad crescut de confort pentru pacient care pleacă în aceeași zi cu o dantură provizorie la standarde estetice și funcționale superioare.
Arată natural, chiar dacă sunt implanturi
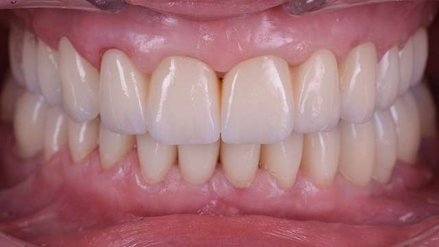
Ce ne scoate în evidență în acest gen de cazuri, este modul în care ele sunt integrate atât biologic cât și estetic. Nu arată ca și cazuri pe implanturi, ci mai degrabă ca fațete sau chiar dinți naturali. Acest lucru este posibil doar printr-o pregătire meticuloasă a cazurilor înainte de chirurgie pentru a maximiza potențialul biologic al pacientului și printr-o experientă și expertiză superioară la nivel de design pe partea estetică.
