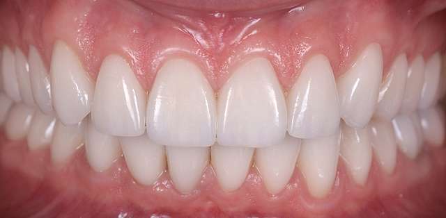
Uneori spatiile sunt perfecte pentru fatete , exemplu in arcada superioara. Aici putem avea rezultate optime in designul fateleor.
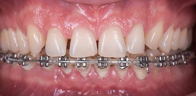
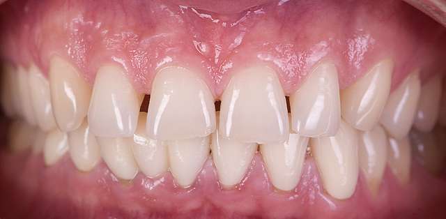
Alteori e nevoie de aparat dentar, exemplu in arcada inferioara, unde refacem niste lucrari vechi, care au incercat sa ignore aceasta problema. Si de fiecare data, cel mai eficient e sa tratezi din prima corect.
