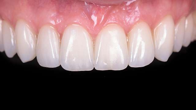
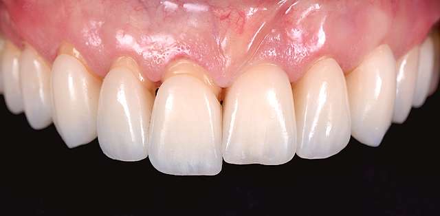
Cazul de fata este realizat dupa aparat dentar, care are niste corectii facute din compozit. Cazul este stabil si ce este evident ca putem imbunatati este culoarea prin folosirea unor materiale cu o durata mai mare de viata, cum e ceramica. Am ales forme naturale cu proportii similare, chiar cu trasaturi similare, dar cu mai multa textura, ca si cum am fi cautat varianta mai tanara a acestori dinti.
In plus, caninii ii percepem ca fiind prea dominanti, si am inversat subtil dominanta, de le canini spre incisivii centrali. Nu in ultimul rand, avem de a face cu suprafete de contact lungi, prin urmare, am preparat si am gandit in asa fel cazul incat sa imbunatatim papilele.
