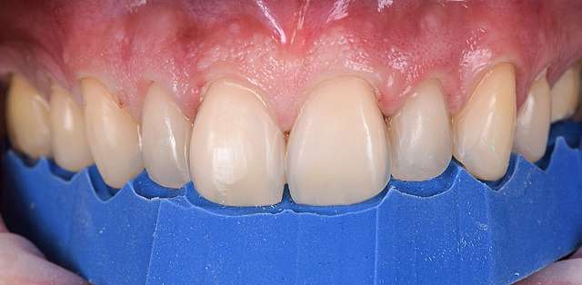
Cand facem design-ul unui zambet urmărim concomitent doua lucruri. Sa identificam elementele care ne dau dizarmonie, in acest caz, centralii au o dominanta exagerata, atat prin pozitia lor, cat si prin faptul ca incisivi laterali, vecini lor sunt de dimensiuni reduse, fapt care se percepe ca un dezechilibru vizual. De asemenea mediana este usor deviata, un detaliu minor dar important. Al doilea lucru care il urmarim e sa pastram identitatea zambetului.
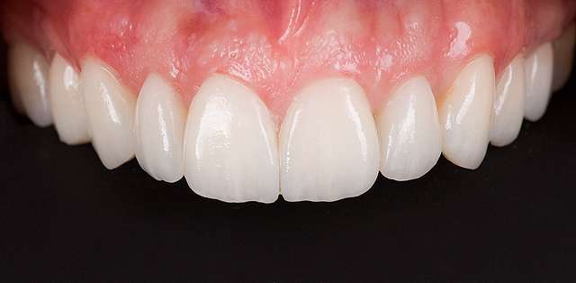
Ca sa facem asta vom folosi o geometrie similara, alegand forme naturale apropiate de cele existente. Le vom optimiza doar pozitia, culoarea si luminozitatea prin fatele dentare. Totusi elementul cheie in acest design este schimbarea lateralilor. Din nou vom alege forme similare, dar cu o proportie mai supla, si scalati la o dimensiune mai mare. Acest lucru va face ca incisivii centrali sa nu mai aiba o dominanta exagerata, si va face zambetul sa fie mai placut si echilibrat.
