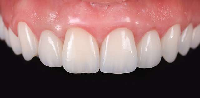
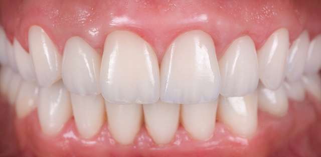
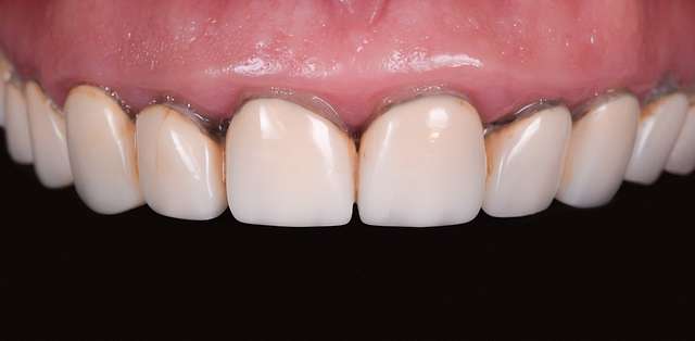
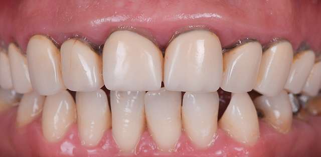
In acest caz am refacut o serie de tratamente vechi si am regandit complet cazul din punct de vedere functional. Am avut 3 obiective cheie: sa reducem dimensiunea verticala, care era artificial creata si nu era benefica nici functional nici estetic.
Alt obiectiv a fost o stabilitate functionala si re-optimizarea rapoartelor dintre cele doua maxilare. Acest lucru este posibil cand stim ca vom reface toate restauratiile. Al 3-lea obiectiv imbunatatirea profilelor gingivale si a papilelor. Cumva toate cele trei obiective converg la nivel de design. Povestea pe larg este prezentata in primu sezon de Masterplan 2021.
