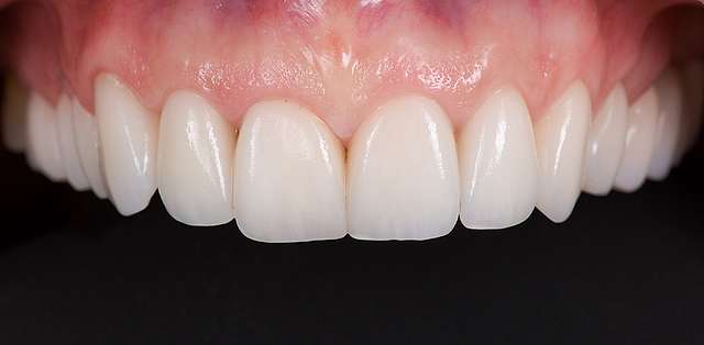
Exista doua tipuri de simetrie. Simetrie relativa, si simetria absoluta. Simetria absoluta nu exista in natura, si de cele mai multe ori, duce într-o direcție opusă, cea a artificialului. Un zambet are nevoie de cel mult o simetrie relativa, in care doar anumite elemente au corelare de forma, mărime sau poziție. Contar parerilor populare, un zambet frumos, la fel ca o fata frumoasa, are un grad mare de asimetrie. Asimetria ne da unicitate si naturalețe. Ne da identitate. Acest zambet are o simetrie relativa doar la nivelul celor doi incisivi centrali.
Incisivii laterali sunt diferiți unul de celălalt. Daca va uitati cu atentie, nivelul gingival la cei doi canini este diferit, deci prin urmare avem o asimetrie gingivala. Si aici intervine un element interesant ca si decizie de design. In loc sa corectam asimetria, alegem sa o echilibram. Alegand doi canini diferite ca forma, diferiți ca poziție, dar identici ca lungime, se creeaza un echilibru plăcut si natural. Simetria nu este un scop, ci mai degrabă un 'condiment' care alegem sa il folosim ponderat si situational in designul unui zambet.
