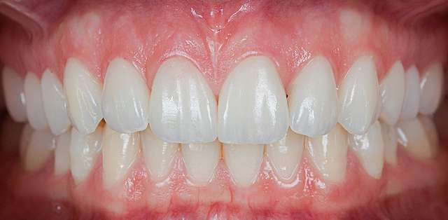
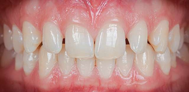
Una din indicațiile de manual pentru fatete dentare sunt dinti mici sau dinti cu spatii. Acest tip de cazuri se numesc cazuri aditive. Un caz aditiv e un caz minim invaziv, pentru e nevoie de minim de preparatii. Design-ul presupune tot timpul sa adaugam material, si nu presupune sa reducem din dinti, pentru ca spatiul de ceramica exista deja.
In teorie sunt cazuri usoare, dar in acelasi timp sunt cazuri sunt cazuri de finete, pentru ca tot cazul este alcatuit din detalii. In astfel de cazuri fatetele pot avea grosimi minime de 0.3-0.4 mm. Asta înseamnă atat minim invazivitate, cat si proprietăți optice extrem de naturale.
