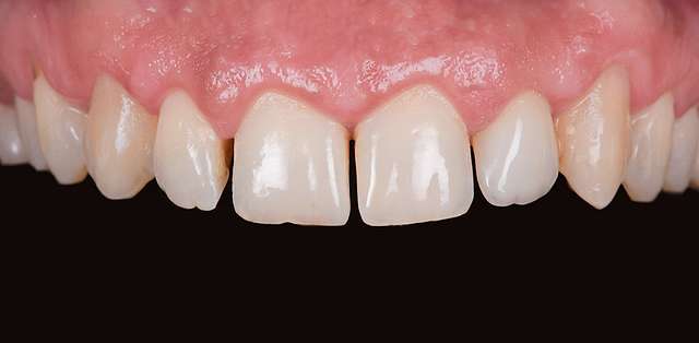
O indicatie pentru fatetele dentare sunt dintii cu spatii. Aceste cazuri sunt relativ simple. Ce trebuie sa intelegem ca implicatie de design este ca aceste spatii nu se pot umple pur si simplu, pentru ca daca facem doar asta, dintii devin de cele mai multe ori lati, sau prea lati, cu proportii inestetice.
De cele mai multe ori, ca si aici, e nevoie sa si lungim proportional in functie de cat latim, si sa distribuim strategic excesul de dimensiune, ca sa echilibram zambetul.
