Pentru ca un zambet sa arate frumos si natural, trebuie sa existe un echilibru intre forma si conditia dintilor, culoarea acestora, cat si arhitectura tesuturilor. In unele cazuri, estetica zambetului este influentata de prezenta tesuturilor si dintilor inchisi la culoare.
Cauzele acestor afectiuni pot fi: tratamente de canal vechi, restauratii metalice vechi. Dintii devitalizati capata o culoare inchisa, iar radacina devine vizibila prin gingie.
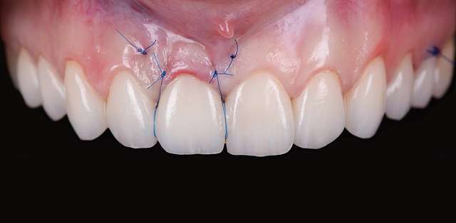
Rezultatul final consta in cele mai mici detalii, de aceea in planificarea tratamentului, luam toate lucrurile in considerare, inclusiv managementul tesuturilor. Grefele gingivale sunt cea mai eficienta optiune in tratamentul afectiunilor gingiei. Prin intermediul grefei se imbunatateste volumul gingiei, astfel este blocata vizibilitatea radacinii inchise la culoare. Afla mai mult
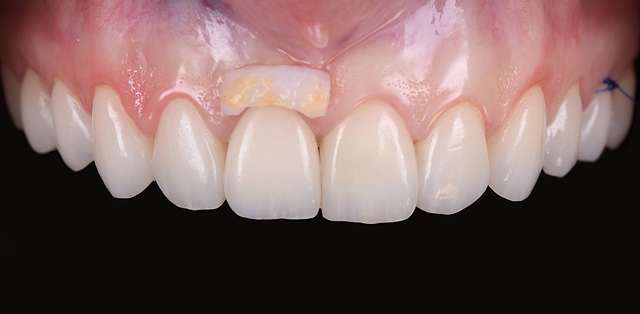
Pentru tratarea dintilor inchisi la culoare, substratul poate fi blocat sau inlocuit cu unul de culoarea dintelui. Criteriul de alegere este reprezentat de optiunea cea mai conservativa cu integritatea structurala a dintelui afectat. Afla mai mult
